Antibody data
- Antibody Data
- Antigen structure
- References [0]
- Comments [0]
- Validations
- Western blot [1]
- Immunohistochemistry [2]
Submit
Validation data
Reference
Comment
Report error
- Product number
- ABIN1944729 - Provider product page

- Provider
- antibodies-online
- Product name
- anti-Chromosome 13 Open Reading Frame 30 (C13orf30) (AA 106-139), (C-Term) antibody
- Antibody type
- Polyclonal
- Description
- This antibody is purified through a protein A column, followed by peptide affinity purification.
- Reactivity
- Human
- Host
- Rabbit
- Epitope
- AA 106-139, C-Term
- Antibody clone number
- RB46016
- Vial size
- 400 μL
No comments: Submit comment
Supportive validation
- Submitted by
- antibodies-online (provider)
- Main image

- Experimental details
- WB
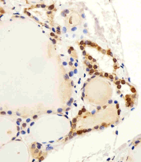
Supportive validation
- Submitted by
- antibodies-online (provider)
- Main image

- Experimental details
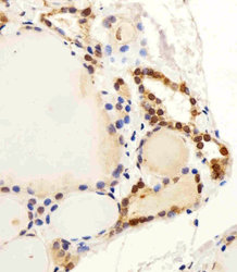
- IHC
- Submitted by
- antibodies-online (provider)
- Main image

- Experimental details
- IHC