Antibody data
- Antibody Data
- Antigen structure
- References [0]
- Comments [0]
- Validations
- Immunohistochemistry [2]
Submit
Validation data
Reference
Comment
Report error
- Product number
- PA5-49344 - Provider product page

- Provider
- Invitrogen Antibodies
- Product name
- Anti-C13orf30 Polyclonal Antibody
- Antibody type
- Polyclonal
- Antigen
- Synthetic peptide
- Description
- Predicted to react with monkey based on sequence homology.
- Reactivity
- Human
- Host
- Rabbit
- Isotype
- IgG
- Vial size
- 400 µl
- Concentration
- Lot Dependent
- Storage
- -20° C, Avoid Freeze/Thaw Cycles
No comments: Submit comment
Supportive validation
- Submitted by
- Invitrogen Antibodies (provider)
- Main image

- Experimental details
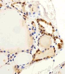
- Immunohistochemical analysis of C13orf30 in paraffin-embedded Human thyroid tissue. Samples were probed with a C13orf30 Antibody at a 1:25 dilution (Product # PA5-49344) followed by peroxidase conjugation to the goat anti-rabbit IgG secondary antibody at 1:400 dilution and DAB staining.
- Submitted by
- Invitrogen Antibodies (provider)
- Main image

- Experimental details
- Immunohistochemical analysis of C13orf30 in paraffin-embedded Human brain tissue. Samples were probed using a C13orf30 Antibody (C-term) (Product # PA5-49344) at a 1:25 dilution. A peroxidase-conjugated goat anti-rabbit IgG at a 1:400 dilution was used as the secondary antibody, followed by DAB staining.