Antibody data
- Antibody Data
- Antigen structure
- References [0]
- Comments [0]
- Validations
- Immunocytochemistry [1]
- Immunohistochemistry [1]
- Other assay [1]
Submit
Validation data
Reference
Comment
Report error
- Product number
- UM500061 - Provider product page

- Provider
- OriGene
- Proper citation
- OriGene Cat#UM500061, RRID:AB_2629074
- Product name
- CTAG1B (NY-ESO-1) mouse monoclonal antibody,clone UMAB73
- Antibody type
- Monoclonal
- Description
- CTAG1B (NY-ESO-1) mouse monoclonal antibody,clone UMAB73
- Host
- Mouse
- Conjugate
- Unconjugated
- Epitope
- CTAG1B
- Isotype
- IgG
- Antibody clone number
- UMAB73
- Vial size
- 100 µl
- Concentration
- 1.00mg/ml
No comments: Submit comment
Supportive validation
- Submitted by
- OriGene (provider)
- Main image

- Experimental details
- Immunofluorescent staining of HeLa cells using anti-CTAG1B mouse monoclonal antibody (UM500061, green, 1:50). Actin filaments were labeled with Alexa Fluor? 594 Phalloidin (red), and nuclear with DAPI (blue). Scale bar, 20?m.
- Validation comment
- IF
Supportive validation
- Submitted by
- OriGene (provider)
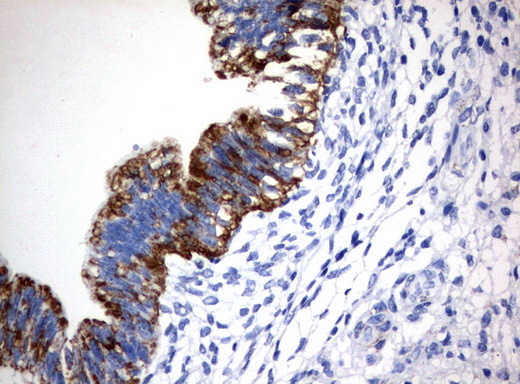
- Main image

- Experimental details
- Immunohistochemical staining of paraffin-embedded Human testicular cancer tissue using anti-CTAG1B mouse monoclonal antibody. (UM500061; heat-induced epitope retrieval by 10mM citric buffer, pH6.0, 120C for 3min)
- Validation comment
- IHC
Supportive validation
- Submitted by
- OriGene (provider)
- Main image

- Experimental details
- OriGene overexpression protein microarray chip was immunostained with UltraMAB anti-CTAG1B mouse monoclonal antibody (UM500061). The positive reactive proteins are highlighted with two red arrows in the enlarged subarray. All the positive controls spotted in this subarray are also labeled for clarification.
- Validation comment
- 10K-CHIP