Antibody data
- Antibody Data
- Antigen structure
- References [0]
- Comments [0]
- Validations
- Western blot [1]
- Immunohistochemistry [5]
- Flow cytometry [1]
Submit
Validation data
Reference
Comment
Report error
- Product number
- RQ6884 - Provider product page

- Provider
- NSJ Bioreagents
- Product name
- Importin subunit alpha-1 Antibody / KPNA2
- Antibody type
- Polyclonal
- Description
- This highly specific Importin subunit alpha-1 antibody is suitable for use in Western blot/Immunohistochemistry/Flow cytometry/Direct ELISA applications with human, mouse and rat samples.
- Reactivity
- Human, Mouse, Rat
- Host
- Rabbit
- Conjugate
- Unconjugated
- Vial size
- 100 ug
- Concentration
- 0.5mg/ml if reconstituted with 0.2ml sterile DI water
- Storage
- After reconstitution, the Importin subunit alpha-1 antibody can be stored for up to one month at 4oC. For long-term, aliquot and store at -20oC. Avoid repeated freezing and thawing.
No comments: Submit comment
Supportive validation
- Submitted by
- NSJ Bioreagents (provider)
- Main image

- Experimental details
- Western blot testing of 1) human A549, 2) human U-251, 3) human U-2 OS, 4) human Daudi, 5) human MCF7, 6) human T-47D, 7) human Caco-2, 8) rat testis, 9) mouse testis and 10) mouse RAW264.7 cell lysate with Importin subunit alpha-1 antibody. Predicted molecular weight ~58 kDa.
Supportive validation
- Submitted by
- NSJ Bioreagents (provider)
- Main image

- Experimental details
- IHC staining of FFPE human lymphoma tissue with Importin subunit alpha-1 antibody. HIER: boil tissue sections in pH8 EDTA for 20 min and allow to cool before testing.
- Submitted by
- NSJ Bioreagents (provider)
- Main image

- Experimental details
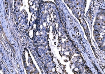
- IHC staining of FFPE human adenocarcinoma of the right colon with Importin subunit alpha-1 antibody. HIER: boil tissue sections in pH8 EDTA for 20 min and allow to cool before testing.
- Submitted by
- NSJ Bioreagents (provider)
- Main image

- Experimental details
- IHC staining of FFPE human lung cancer tissue with Importin subunit alpha-1 antibody. HIER: boil tissue sections in pH8 EDTA for 20 min and allow to cool before testing.
- Submitted by
- NSJ Bioreagents (provider)
- Main image

- Experimental details
- IHC staining of FFPE human tonsil tissue with Importin subunit alpha-1 antibody. HIER: boil tissue sections in pH8 EDTA for 20 min and allow to cool before testing.
- Submitted by
- NSJ Bioreagents (provider)
- Main image

- Experimental details
- IHC staining of FFPE rat testis with Importin subunit alpha-1 antibody. HIER: boil tissue sections in pH8 EDTA for 20 min and allow to cool before testing.
Supportive validation
- Submitted by
- NSJ Bioreagents (provider)
- Main image

- Experimental details
- Flow cytometry testing of human U-87 MG cells with Importin subunit alpha-1 antibody at 1ug/million cells (blocked with goat sera); Red=cells alone, Green=isotype control, Blue= Importin subunit alpha-1 antibody.