Antibody data
- Antibody Data
- Antigen structure
- References [0]
- Comments [0]
- Validations
- Western blot [1]
- Immunohistochemistry [9]
Submit
Validation data
Reference
Comment
Report error
- Product number
- NBP1-93894 - Provider product page

- Provider
- Novus Biologicals
- Proper citation
- Novus Cat#NBP1-93894, RRID:AB_11018239
- Product name
- Rabbit Polyclonal ARHGAP36 Antibody
- Antibody type
- Polyclonal
- Description
- Immunogen affinity purified. Specificity of human ARHGAP36 antibody verified on a Protein Array containing target protein plus 383 other non-specific proteins.
- Reactivity
- Human
- Host
- Rabbit
- Isotype
- IgG
- Vial size
- 0.1 ml
- Storage
- Store at 4C short term. Aliquot and store at -20C long term. Avoid freeze-thaw cycles.
No comments: Submit comment
Supportive validation
- Submitted by
- Novus Biologicals (provider)
- Main image

- Experimental details
- Western Blot: ARHGAP36 Antibody [NBP1-93894] - Analysis in human cell line SH-SY5Y.
Supportive validation
- Submitted by
- Novus Biologicals (provider)
- Main image

- Experimental details
- Immunohistochemistry-Paraffin: ARHGAP36 Antibody [NBP1-93894] - Staining of human adrenal gland shows high expression.
- Submitted by
- Novus Biologicals (provider)
- Main image

- Experimental details
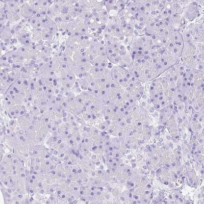
- Immunohistochemistry-Paraffin: ARHGAP36 Antibody [NBP1-93894] - Staining of human pancreas shows low expression as expected.
- Submitted by
- Novus Biologicals (provider)
- Main image

- Experimental details
- Immunohistochemistry-Paraffin: ARHGAP36 Antibody [NBP1-93894] - Staining of human pituitary gland shows strong cytoplasmic positivity in cells in anterior lobe.
- Submitted by
- Novus Biologicals (provider)
- Main image

- Experimental details
- Immunohistochemistry: ARHGAP36 Antibody [NBP1-93894] - Analysis in human adrenal gland and kidney tissues. Corresponding ARHGAP36 RNA-seq data are presented for the same tissues.
- Submitted by
- Novus Biologicals (provider)
- Main image

- Experimental details
- Immunohistochemistry-Paraffin: ARHGAP36 Antibody [NBP1-93894] - Staining of human kidney shows no positivity in cells in tubules as expected.
- Submitted by
- Novus Biologicals (provider)
- Main image

- Experimental details
- Immunohistochemistry-Paraffin: ARHGAP36 Antibody [NBP1-93894] - Staining of human adrenal gland shows strong cytoplasmic positivity in glandular cells.
- Submitted by
- Novus Biologicals (provider)
- Main image

- Experimental details
- Immunohistochemistry-Paraffin: ARHGAP36 Antibody [NBP1-93894] - Staining of human pancreas shows no positivity in exocrine glandular cells as expected.
- Submitted by
- Novus Biologicals (provider)
- Main image

- Experimental details
- Immunohistochemistry-Paraffin: ARHGAP36 Antibody [NBP1-93894] - Staining of human pituitary gland shows strong cytoplasmic positivity in cells in anterior lobe.
- Submitted by
- Novus Biologicals (provider)
- Main image

- Experimental details
- Immunohistochemistry-Paraffin: ARHGAP36 Antibody [NBP1-93894] - Staining of human skin shows no positivity in squamous epithelial cells as expected.