Antibody data
- Antibody Data
- Antigen structure
- References [0]
- Comments [0]
- Validations
- Immunohistochemistry [3]
Submit
Validation data
Reference
Comment
Report error
- Product number
- BS-1409R - Provider product page

- Provider
- Invitrogen Antibodies
- Product name
- HSTF2 Polyclonal Antibody
- Antibody type
- Polyclonal
- Antigen
- Synthetic peptide
- Reactivity
- Human, Mouse, Rat
- Host
- Rabbit
- Isotype
- IgG
- Vial size
- 100 µL
- Concentration
- 1 mg/mL
- Storage
- -20°C
No comments: Submit comment
Supportive validation
- Submitted by
- Invitrogen Antibodies (provider)
- Main image

- Experimental details
- Formalin-fixed and paraffin-embedded rat brain labeled with Anti-HSTF2/HSF2 Polyclonal Antibody, Unconjugated(bs-1409R) 1:200, overnight at 4°C, The secondary antibody was Goat Anti-Rabbit IgG, Cy3 conjugated(bs-0295G-Cy3)used at 1:200 dilution for 40 minutes at 37°C.
- Submitted by
- Invitrogen Antibodies (provider)
- Main image

- Experimental details
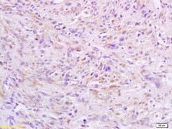
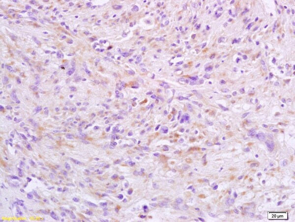
- Formalin-fixed and paraffin embedded human cervical carcinoma Rabbit Anti-HSTF2/HSF2 Polyclonal Antibody, Unconjugated (bs-1409R) at 1:200, followed by conjugation to the secondary antibody and DAB staining.
- Submitted by
- Invitrogen Antibodies (provider)
- Main image

- Experimental details
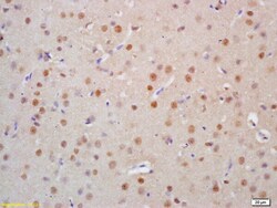
- Formalin-fixed and paraffin embedded rat brain tissue labeled Anti-HSTF2/HSF2 Polyclonal Antibody, Unconjugated (bs-1409R) at 1:200, followed by conjugation to the secondary antibody and DAB staining.