Antibody data
- Antibody Data
- Antigen structure
- References [0]
- Comments [0]
- Validations
- Western blot [1]
- Immunohistochemistry [5]
Submit
Validation data
Reference
Comment
Report error
- Product number
- PA5-59244 - Provider product page

- Provider
- Invitrogen Antibodies
- Product name
- CREB3L3 Polyclonal Antibody
- Antibody type
- Polyclonal
- Antigen
- Recombinant protein fragment
- Description
- Immunogen sequence: SYHPGNSCST TTPGPVIQVP EASVTIDLEM WSPGGRICAE KPADPVDLSP RCNLTVKDLL LSGSSGDLQQ HHLGASYLLR PGAGHCQELV Highest antigen sequence identity to the following orthologs: Mouse - 56%, Rat - 54%.
- Reactivity
- Human
- Host
- Rabbit
- Isotype
- IgG
- Vial size
- 100 μL
- Concentration
- 0.1 mg/mL
- Storage
- Store at 4°C short term. For long term storage, store at -20°C, avoiding freeze/thaw cycles.
No comments: Submit comment
Supportive validation
- Submitted by
- Invitrogen Antibodies (provider)
- Main image

- Experimental details
- Western blot analysis of CREB3L3 in control (vector only transfected HEK293T lysate) and CREB3L3 over-expression lysate (Co-expressed with a C-terminal myc-DDK tag (~3.1 kDa) in mammalian HEK293T cells). Samples were probed using a CREB3L3 Polyclonal Antibody (Product # PA5-59244).
Supportive validation
- Submitted by
- Invitrogen Antibodies (provider)
- Main image

- Experimental details
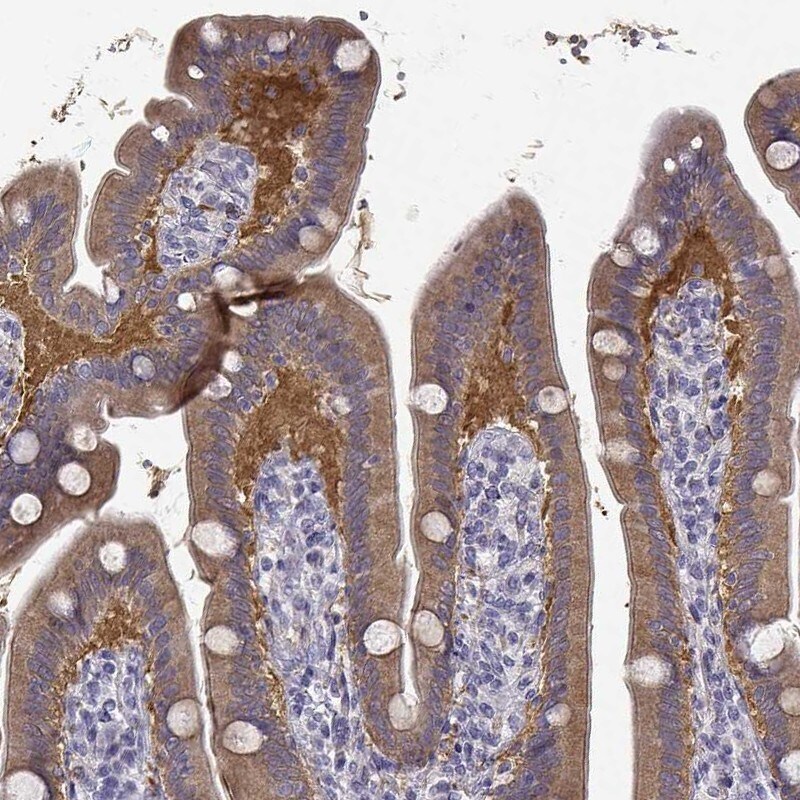
- Immunohistochemical staining of CREB3L3 in human small intestine using CREB3L3 Polyclonal Antibody (Product # PA5-59244) shows high expression.
- Submitted by
- Invitrogen Antibodies (provider)
- Main image

- Experimental details
- Immunohistochemical analysis of CREB3L3 in human liver using CREB3L3 Polyclonal Antibody (Product # PA5-59244) shows weak cytoplasmic positivity in hepatocytes.
- Submitted by
- Invitrogen Antibodies (provider)
- Main image

- Experimental details
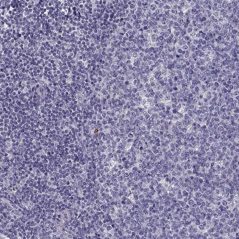
- Immunohistochemical analysis of CREB3L3 in human tonsil using CREB3L3 Polyclonal Antibody (Product # PA5-59244) shows no positivity in lymphoid cells as expected.
- Submitted by
- Invitrogen Antibodies (provider)
- Main image

- Experimental details
- Immunohistochemical staining of CREB3L3 in human pancreas using CREB3L3 Polyclonal Antibody (Product # PA5-59244) shows low expression as expected.
- Submitted by
- Invitrogen Antibodies (provider)
- Main image

- Experimental details
- Immunohistochemical staining of CREB3L3 in human pancreas using CREB3L3 Polyclonal Antibody (Product # PA5-59244) shows low expression as expected.