Antibody data
- Antibody Data
- Antigen structure
- References [0]
- Comments [0]
- Validations
- Western blot [2]
- ELISA [1]
- Immunocytochemistry [1]
- Immunohistochemistry [2]
- Flow cytometry [1]
Submit
Validation data
Reference
Comment
Report error
- Product number
- AM06776PU-N - Provider product page

- Provider
- OriGene
- Product name
- Glypican 3 (GPC3) mouse monoclonal antibody, clone 9C2, Purified
- Antibody type
- Monoclonal
- Description
- Glypican 3 (GPC3) mouse monoclonal antibody, clone 9C2, Purified
- Host
- Mouse
- Conjugate
- Unconjugated
- Epitope
- GPC3
- Isotype
- IgG
- Antibody clone number
- 9C2
- Vial size
- 100 µg
- Concentration
- 1.0 mg/ml
No comments: Submit comment
Supportive validation
- Submitted by
- OriGene (provider)
- Main image

- Experimental details
- Western blot analysis using GPC3 antibody against HepG2 (Lane 1), HEK293 (Lane 2), Jurkat (Lane 3), SK-N-SH (Lane 4), PC-12 (Lane 5), F9 (Lane 6)and Mouse liver (Lane 7) cell lysate.
- Validation comment
- WB
- Submitted by
- OriGene (provider)
- Main image

- Experimental details
- Western blot analysis using GPC3 Lane against Human GPC3 (AA: 55-200) recombinant protein. (Expected MW is 28.5 kDa)
- Validation comment
- WB
Supportive validation
- Submitted by
- OriGene (provider)
- Main image

- Experimental details
- Red: Control Antigen (100ng) Purple: Antigen (10ng) Green: Antigen (50ng) Blue: Antigen (100ng)
- Validation comment
- ELISA
Supportive validation
- Submitted by
- OriGene (provider)
- Main image

- Experimental details
- Immunofluorescence analysis of HeLa cells using GPC3 antibody (green). Blue: DRAQ5 fluorescent DNA dye. Red: Actin filaments have been labeled with Alexa Fluor-555 phalloidin.
- Validation comment
- IF
Supportive validation
- Submitted by
- OriGene (provider)
- Main image

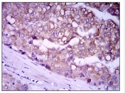
- Experimental details
- Immunohistochemical analysis of paraffin-embedded liver cancer tissues using GPC3 antibody with DAB staining.
- Validation comment
- IHC
- Submitted by
- OriGene (provider)
- Main image

- Experimental details
- Immunohistochemical analysis of paraffin-embedded breast cancer tissues using GPC3 antibody with DAB staining.
- Validation comment
- IHC
Supportive validation
- Submitted by
- OriGene (provider)
- Main image

- Experimental details
- Flow cytometric analysis of Jurkat cells using GPC3 antibody (green) and negative control (red).
- Validation comment
- FC