NBP2-01198
antibody from Novus Biologicals
Targeting: NECTIN1
CD111, CLPED1, ED4, HIgR, HVEC, OFC7, PRR, PRR1, PVRL1, PVRR1, SK-12
Antibody data
- Antibody Data
- Antigen structure
- References [0]
- Comments [0]
- Validations
- Western blot [1]
- Immunohistochemistry [2]
Submit
Validation data
Reference
Comment
Report error
- Product number
- NBP2-01198 - Provider product page

- Provider
- Novus Biologicals
- Product name
- Mouse Monoclonal Nectin-1/PVRL1 Antibody
- Antibody type
- Monoclonal
- Description
- Affinity purified.
- Reactivity
- Human
- Host
- Mouse
- Isotype
- IgG
- Vial size
- 0.1 ml
- Concentration
- 0.54 mg/ml
- Storage
- Store at -20C. Avoid freeze-thaw cycles.
No comments: Submit comment
Supportive validation
- Submitted by
- Novus Biologicals (provider)
- Main image

- Experimental details
- Western Blot: PVRL1 Antibody (6F8) [NBP2-01198] - HEK293T cells were transfected with the pCMV6-ENTRY control (Left lane) or pCMV6-ENTRY PVRL1 (Right lane) cDNA for 48 hrs and lysed. Equivalent amounts of cell lysates (5 ug per lane) were separated by SDS-PAGE and immunoblotted with anti-PVRL1.
Supportive validation
- Submitted by
- Novus Biologicals (provider)
- Main image

- Experimental details
- Immunohistochemistry-Paraffin: PVRL1 Antibody (6F8) [NBP2-01198] - Staining of paraffin-embedded Adenocarcinoma of Human ovary tissue using anti-PVRL1 mouse monoclonal antibody.
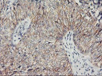
- Submitted by
- Novus Biologicals (provider)
- Main image

- Experimental details
- Immunohistochemistry-Paraffin: PVRL1 Antibody (6F8) [NBP2-01198] - Staining of paraffin-embedded Carcinoma of Human bladder tissue using anti-PVRL1 mouse monoclonal antibody.