Antibody data
- Antibody Data
- Antigen structure
- References [0]
- Comments [0]
- Validations
- Western blot [3]
- ELISA [1]
- Immunocytochemistry [1]
- Immunohistochemistry [1]
Submit
Validation data
Reference
Comment
Report error
- Product number
- TA590316 - Provider product page 
- Provider
- OriGene
- Product name
- Rabbit Polyclonal ING1 Antibody
- Antibody type
- Polyclonal
- Description
- Rabbit Polyclonal ING1 Antibody
- Host
- Rabbit
- Conjugate
- Unconjugated
- Epitope
- ING1
- Isotype
- IgG
- Antibody clone number
- NULL
- Vial size
- 100 µg
- Concentration
- 0.98mg/ml
				No comments: Submit comment	
	
			
							
					Supportive validation
					
									
				
				- Submitted by
- OriGene (provider)
- Main image
 
- Experimental details
- Lane 1: Marker [kDa] 250, 130, 95, 72, 55, 36, 28, 17, 11; Lane 2: RT-4; Lane 3: U-251 MG; Lane 4: Human Plasma; Lane 5: Liver; Lane 6: TonsilThis validation was performed by Protein Atlas and the presentation of data is for informational purposes only.
- Validation comment
- WB
- Submitted by
- OriGene (provider)
- Main image
 
- Experimental details
- HEK293T cells were transfected with the pCMV6-ENTRY control (Left lane) or pCMV6-ENTRY ING1 (RC210888, Right lane) cDNA for 48 hrs and lysed. Equivalent amounts of cell lysates (5 ug per lane) were separated by SDS-PAGE and immunoblotted with anti-ING1.
- Validation comment
- WB
- Submitted by
- OriGene (provider)
- Main image
 
- Experimental details
- Western blot analysis of extracts (35ug) from 9 different cell lines by using anti-ING1 polyclonal antibody (HepG2: human; HeLa: human; SVT2: mouse; A549: human; COS7: monkey; Jurkat: human; MDCK: canine; PC12: rat; MCF7: human).
- Validation comment
- WB
							
					Supportive validation
					
									
				
				- Submitted by
- OriGene (provider)
- Main image
 
- Experimental details
- ELISA: ING1 Antibody
- Validation comment
- ELISA
							
					Supportive validation
					
									
				
				- Submitted by
- OriGene (provider)
- Main image
 
- Experimental details
- Immunofluorescent staining of human cell line U-2 OS shows positivity in nucleus, nucleoli & plasma membrane.This validation was performed by Protein Atlas and the presentation of data is for informational purposes only.
- Validation comment
- IF
							
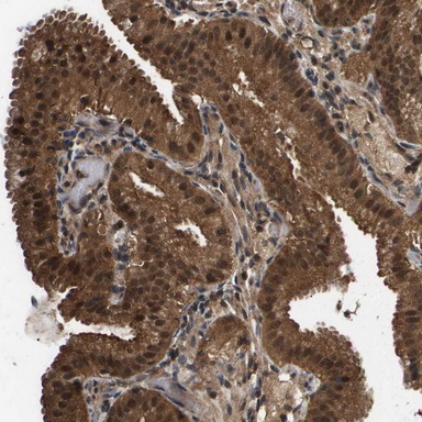
					Supportive validation
					
									
				
		- Submitted by
- OriGene (provider)
- Main image
 
- Experimental details
- Immunohistochemical staining of human gall bladder shows nuclear and cytoplasmic positivity in glandular cells.This validation was performed by Protein Atlas and the presentation of data is for informational purposes only.
- Validation comment
- IHC