Antibody data
- Antibody Data
- Antigen structure
- References [0]
- Comments [0]
- Validations
- Immunohistochemistry [2]
- Flow cytometry [2]
Submit
Validation data
Reference
Comment
Report error
- Product number
- PA5-49336 - Provider product page
- Provider
- Invitrogen Antibodies
- Product name
- HBG2 Polyclonal Antibody
- Antibody type
- Polyclonal
- Antigen
- Synthetic peptide
- Reactivity
- Human, Mouse
- Host
- Rabbit
- Isotype
- IgG
- Vial size
- 400 µL
- Concentration
- 0.4 mg/mL
- Storage
- Store at 4°C short term. For long term storage, store at -20°C, avoiding freeze/thaw cycles.
No comments: Submit comment
Supportive validation
- Submitted by
- Invitrogen Antibodies (provider)
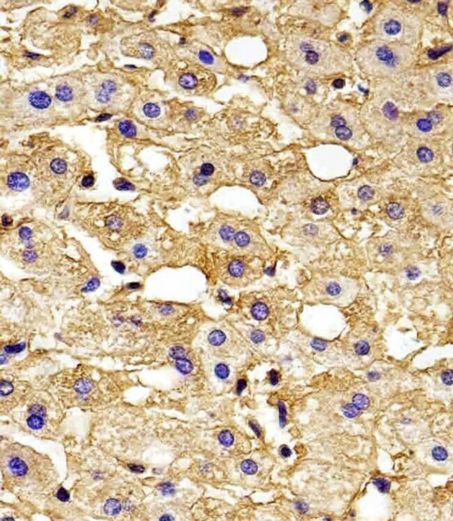
- Main image
- Experimental details
- Immunohistochemistry analysis of HBG2 in paraffin-embedded human liver section. Samples were incubated with HBG2 polyclonal antibody (Product # PA5-49336) using a dilution of 1:100 followed by a peroxidase-conjugated goat anti-rabbit IgG at a dilution of 1:400. Followed by DAB staining.
- Submitted by
- Invitrogen Antibodies (provider)
- Main image
- Experimental details
- Immunohistochemistry analysis of HBG2 in paraffin-embedded mouse liver section. Samples were incubated with HBG2 polyclonal antibody (Product # PA5-49336) using a dilution of 1:100 followed by a peroxidase-conjugated goat anti-rabbit IgG at a dilution of 1:400. Followed by DAB staining.
Supportive validation
- Submitted by
- Invitrogen Antibodies (provider)
- Main image
- Experimental details
- Flow cytometric analysis of HBG2 in U-87 MG cells. Cells were incubated with a HBG2 Antibody (C-term) (green) (Product # PA5-49336) at a 1:25 dilution. An Alexa Fluor® 488 goat anti-rabbit lgG at 1:400 dilution was used as the secondary antibody. Isotype control of rabbit IgG (blue).
- Submitted by
- Invitrogen Antibodies (provider)
- Main image
- Experimental details
- Flow cytometry of of HBG2 in U-87 MG cells (green). Samples were incubated with HBG2 polyclonal antibody (Product # PA5-49336) using a dilution of 1:25 followed by Alexa Fluor® 488 goat anti-rabbit lgG at 1:400. Isotype control of rabbit IgG (blue).