Antibody data
- Antibody Data
- Antigen structure
- References [0]
- Comments [0]
- Validations
- Western blot [1]
- Immunohistochemistry [2]
Submit
Validation data
Reference
Comment
Report error
- Product number
- 18307-1-AP - Provider product page

- Provider
- Proteintech Group
- Proper citation
- Proteintech Cat#18307-1-AP, RRID:AB_2229990
- Product name
- CSF2RA/CD116 antibody
- Antibody type
- Polyclonal
- Description
- CSF2RA/CD116 antibody (Cat. #18307-1-AP) is a rabbit polyclonal antibody that shows reactivity with human and has been validated for the following applications: IHC, WB, ELISA.
- Reactivity
- Human
- Host
- Rabbit
- Conjugate
- Unconjugated
- Isotype
- IgG
- Vial size
- 20ul, 150ul
No comments: Submit comment
Supportive validation
- Submitted by
- Proteintech Group (provider)
- Main image

- Experimental details
- HepG2 cells were subjected to SDS PAGE followed by western blot with 18307-1-AP(CSF2RA antibody) at dilution of 1:600
- Sample type
- cell line
Supportive validation
- Submitted by
- Proteintech Group (provider)
- Main image

- Experimental details
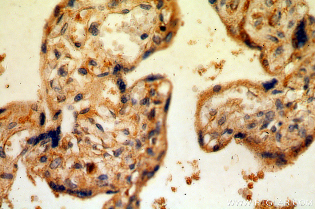
- Immunohistochemical of paraffin-embedded human placenta using 18307-1-AP(CSF2RA antibody) at dilution of 1:50 (under 10x lens)
- Sample type
- tissue
- Submitted by
- Proteintech Group (provider)
- Main image

- Experimental details
- The CSF2RA/CD116 antibody from Proteintech is a rabbit polyclonal antibody to a peptide of human CSF2RA/CD116. This antibody recognizes human antigen. The CSF2RA/CD116 antibody has been validated for the following applications: ELISA, WB, IHC analysis.