Antibody data
- Antibody Data
- Antigen structure
- References [0]
- Comments [0]
- Validations
- Immunocytochemistry [2]
- Immunohistochemistry [5]
Submit
Validation data
Reference
Comment
Report error
- Product number
- PA5-64129 - Provider product page

- Provider
- Invitrogen Antibodies
- Product name
- ARVCF Polyclonal Antibody
- Antibody type
- Polyclonal
- Antigen
- Recombinant protein fragment
- Description
- Immunogen sequence: DDTRSLAADD EGGPELEPDY GTATRRRPEC GRGLHTRAYE DTADDGGELA DERPAFPMVT AP Highest antigen sequence identity to the following orthologs: Mouse - 81%, Rat - 81%.
- Reactivity
- Human
- Host
- Rabbit
- Isotype
- IgG
- Vial size
- 100 μL
- Concentration
- 0.2 mg/mL
- Storage
- Store at 4°C short term. For long term storage, store at -20°C, avoiding freeze/thaw cycles.
No comments: Submit comment
Supportive validation
- Submitted by
- Invitrogen Antibodies (provider)
- Main image

- Experimental details
- Immunofluorescent staining of ARVCF in human cell line SH-SY5Y shows positivity in plasma membrane & cell junctions. Samples were probed using an ARVCF Polyclonal Antibody (Product # PA5-64129).
- Submitted by
- Invitrogen Antibodies (provider)
- Main image

- Experimental details
- Immunofluorecent analysis of ARVCF in human cell line SH-SY5Y using ARVCF Polyclonal Antibody (Product # PA5-64129). Staining shows localization to plasma membrane and cell junctions.
Supportive validation
- Submitted by
- Invitrogen Antibodies (provider)
- Main image

- Experimental details
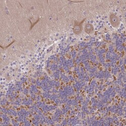
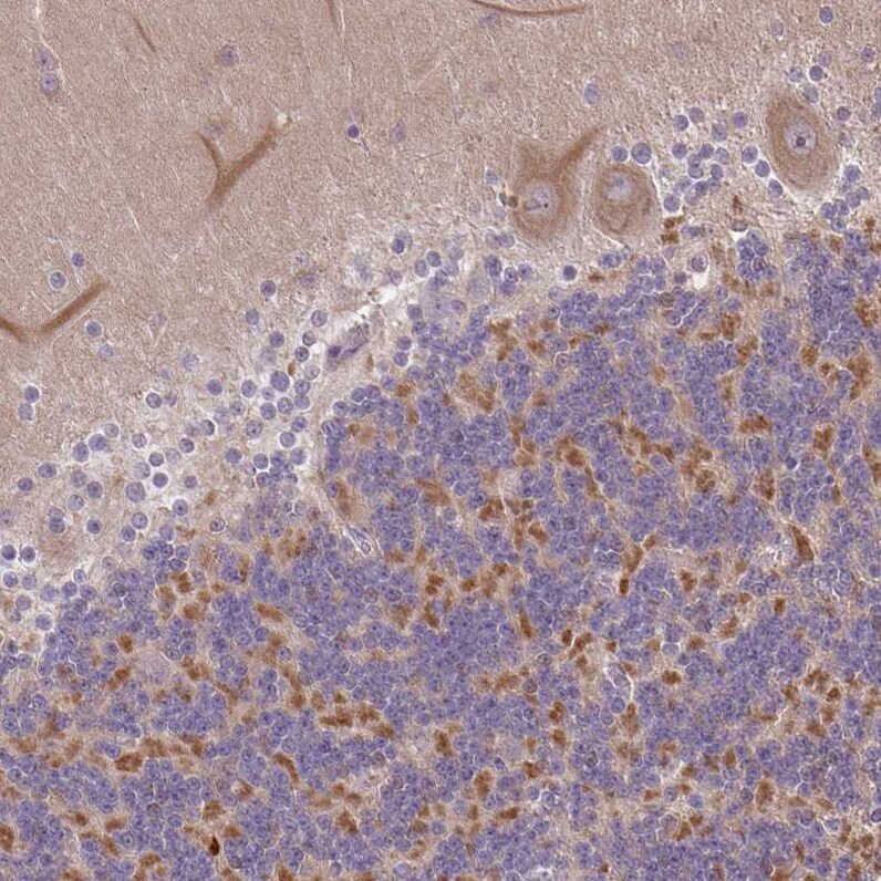
- Immunohistochemical analysis of ARVCF in human cerebellum using ARVCF Polyclonal Antibody (Product # PA5-64129) shows strong cytoplasmic positivity in a subset of cells in granular layer.
- Submitted by
- Invitrogen Antibodies (provider)
- Main image

- Experimental details
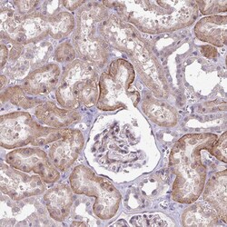
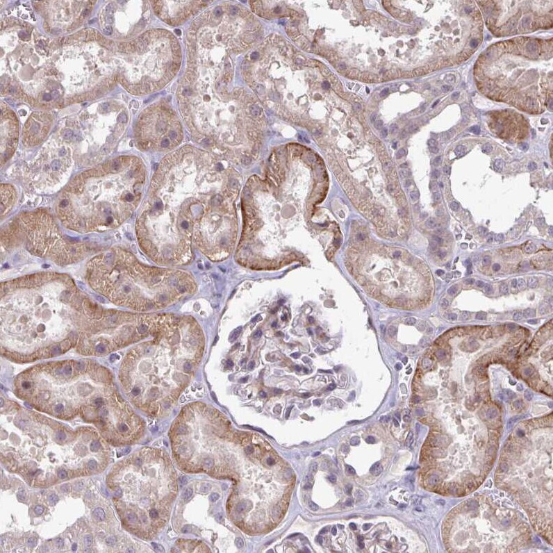
- Immunohistochemical analysis of ARVCF in human kidney using ARVCF Polyclonal Antibody (Product # PA5-64129) shows weak to moderate cytoplasmic positivity in cells in tubules.
- Submitted by
- Invitrogen Antibodies (provider)
- Main image

- Experimental details
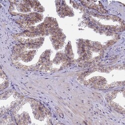
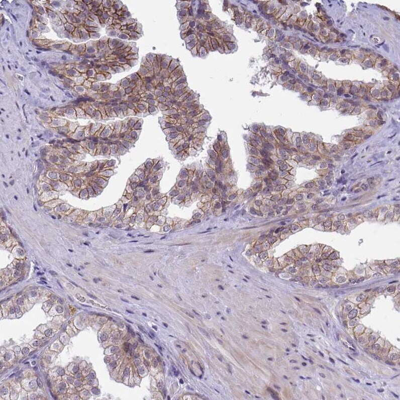
- Immunohistochemical analysis of ARVCF in human prostate using ARVCF Polyclonal Antibody (Product # PA5-64129) shows moderate membranous positivity in glandular cells.
- Submitted by
- Invitrogen Antibodies (provider)
- Main image

- Experimental details
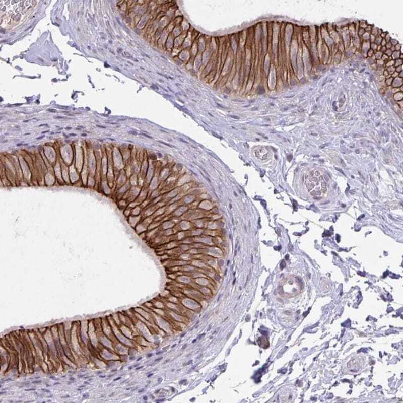
- Immunohistochemical staining of ARVCF in human epididymis using an ARVCF Polyclonal Antibody (Product # PA5-64129) shows strong cell membrane positivity in glandular cells.
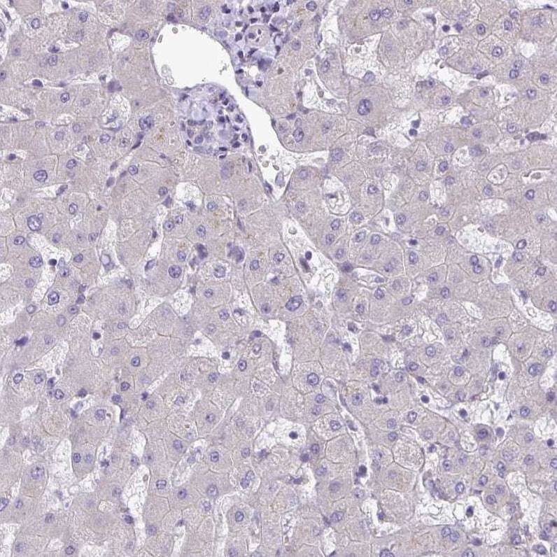
- Submitted by
- Invitrogen Antibodies (provider)
- Main image

- Experimental details
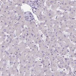
- Immunohistochemical analysis of ARVCF in human liver using ARVCF Polyclonal Antibody (Product # PA5-64129) shows no positivity in hepatocytes as expected.