Antibody data
- Antibody Data
- Antigen structure
- References [1]
- Comments [0]
- Validations
- Western blot [1]
- Immunohistochemistry [1]
Submit
Validation data
Reference
Comment
Report error
- Product number
- H00000421-M01 - Provider product page

- Provider
- Novus Biologicals
- Proper citation
- Novus Cat#H00000421-M01, RRID:AB_2058571
- Product name
- Mouse Monoclonal ARVCF Antibody
- Antibody type
- Monoclonal
- Description
- IgG purified. ARVCF - armadillo repeat gene deletes in velocardiofacial syndrome
- Reactivity
- Human, Xenopus
- Host
- Mouse
- Isotype
- IgG
- Vial size
- 0.1 mg
- Storage
- Aliquot and store at -20C or -80C. Avoid freeze-thaw cycles.
Submitted references Xenopus Kazrin interacts with ARVCF-catenin, spectrin and p190B RhoGAP, and modulates RhoA activity and epithelial integrity.
Cho K, Vaught TG, Ji H, Gu D, Papasakelariou-Yared C, Horstmann N, Jennings JM, Lee M, Sevilla LM, Kloc M, Reynolds AB, Watt FM, Brennan RG, Kowalczyk AP, McCrea PD
Journal of cell science 2010 Dec 1;123(Pt 23):4128-44
Journal of cell science 2010 Dec 1;123(Pt 23):4128-44
No comments: Submit comment
Supportive validation
- Submitted by
- Novus Biologicals (provider)
- Main image

- Experimental details
- Western Blot: ARVCF Antibody (5D2) [H00000421-M01] - ARVCF monoclonal antibody (M01), clone 5D2 Analysis of ARVCF expression in A-431.
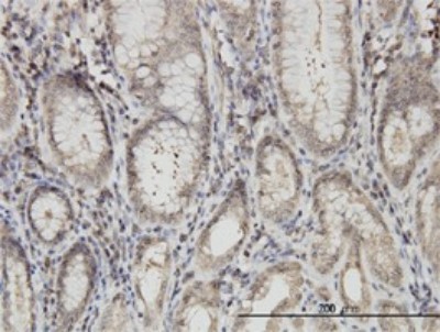
Supportive validation
- Submitted by
- Novus Biologicals (provider)
- Main image

- Experimental details
- Immunohistochemistry-Paraffin: ARVCF Antibody (5D2) [H00000421-M01] - Analysis of monoclonal antibody to ARVCF on formalin-fixed paraffin-embedded human stomach. Antibody concentration 3 ug/ml.