Antibody data
- Antibody Data
- Antigen structure
- References [0]
- Comments [0]
- Validations
- Western blot [1]
- Immunohistochemistry [1]
Submit
Validation data
Reference
Comment
Report error
- Product number
- AP55545PU-N - Provider product page

- Provider
- Acris Antibodies GmbH
- Product name
- anti DBX1 (Center)
- Antibody type
- Polyclonal
- Antigen
- 15 amino acid synthetic peptide near the center of Human DBX1 (AP55545CP-N)
- Reactivity
- Human, Mouse, Rat
- Host
- Rabbit
- Isotype
- IgG
- Vial size
- 0.1 mg
- Concentration
- 1.0 mg/ml
No comments: Submit comment
Supportive validation
- Submitted by
- Acris Antibodies GmbH (provider)
- Main image

- Experimental details
- Western blot analysis of DBX1 in mouse kidney tissue lysate with DBX1 antibody at (A) 1 and (B) 2 μg/mL.
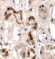
Supportive validation
- Submitted by
- Acris Antibodies GmbH (provider)
- Main image

- Experimental details
- Immunohistochemistry of DBX1 in human kidney tissue with DBX1 antibody at 2.5 ug/mL.