Antibody data
- Antibody Data
- Antigen structure
- References [0]
- Comments [0]
- Validations
- Western blot [1]
- Immunohistochemistry [1]
- Flow cytometry [1]
Submit
Validation data
Reference
Comment
Report error
- Product number
- AP54001PU-N - Provider product page

- Provider
- Acris Antibodies GmbH
- Proper citation
- Acris Antibodies GmbH Cat#AP54001PU-N, RRID:AB_11143663
- Product name
- anti SPATA22 (N-term)
- Antibody type
- Polyclonal
- Antigen
- Synthetic peptide - KLH conjugated - corresponding to the N-terminal region (between 10-39aa) of human SPATA22.
- Reactivity
- Human
- Host
- Rabbit
- Vial size
- 0.1 mg
- Concentration
- 0.25 mg/ml
No comments: Submit comment
Supportive validation
- Submitted by
- Acris Antibodies GmbH (provider)
- Main image

- Experimental details
- Western blot analysis in K562 cell line lysates (35ug/lane) using SPATA22 antibody Cat.-No. AP54001PU-N (N-term). This demonstrates the SPATA22 antibody detected the SPATA22 protein (arrow).
Supportive validation
- Submitted by
- Acris Antibodies GmbH (provider)
- Main image

- Experimental details
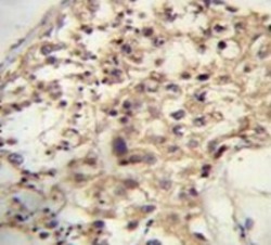
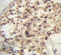
- Immunohistochemistry analysis human testis tissue (Formalin-fixed, Paraffin-embedded) using SPATA22 antibody Cat.-No. AP54001PU-N (N-term), followed by peroxidase conjugation of the secondary antibody and DAB staining.This data demonstrates the use of SPATA22 antibody for IHC; Clinical relevance has not been evaluated.
Supportive validation
- Submitted by
- Acris Antibodies GmbH (provider)
- Main image

- Experimental details
- Flow cytometric analysis of K562 cells (right histogram) compared to a negative control cell (left histogram) using SPATA22 antibody Cat.-No. AP54001PU-N (N-term), followed by FITC-conjugated goat-anti-rabbit secondary antibodies.