Antibody data
- Antibody Data
- Antigen structure
- References [3]
- Comments [0]
- Validations
- Immunohistochemistry [1]
Submit
Validation data
Reference
Comment
Report error
- Product number
- sc-270 - Provider product page

- Provider
- Santa Cruz Biotechnology
- Proper citation
- Santa Cruz Biotechnology Cat#sc-270, RRID:AB_2290030
- Product name
- Anti-ATF1
- Antibody type
- Monoclonal
- Reactivity
- Human
- Host
- Mouse
Submitted references Activation of the ATF3 gene through a co-ordinated amino acid-sensing response programme that controls transcriptional regulation of responsive genes following amino acid limitation.
Vanin-1-/- mice exhibit a glutathione-mediated tissue resistance to oxidative stress.
Cell cycle inhibition by FoxO forkhead transcription factors involves downregulation of cyclin D.
Pan YX, Chen H, Thiaville MM, Kilberg MS
The Biochemical journal 2007 Jan 1;401(1):299-307
The Biochemical journal 2007 Jan 1;401(1):299-307
Vanin-1-/- mice exhibit a glutathione-mediated tissue resistance to oxidative stress.
Berruyer C, Martin FM, Castellano R, Macone A, Malergue F, Garrido-Urbani S, Millet V, Imbert J, Duprè S, Pitari G, Naquet P, Galland F
Molecular and cellular biology 2004 Aug;24(16):7214-24
Molecular and cellular biology 2004 Aug;24(16):7214-24
Cell cycle inhibition by FoxO forkhead transcription factors involves downregulation of cyclin D.
Schmidt M, Fernandez de Mattos S, van der Horst A, Klompmaker R, Kops GJ, Lam EW, Burgering BM, Medema RH
Molecular and cellular biology 2002 Nov;22(22):7842-52
Molecular and cellular biology 2002 Nov;22(22):7842-52
No comments: Submit comment
Supportive validation
- Submitted by
- per
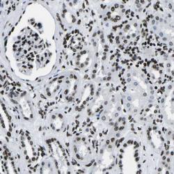
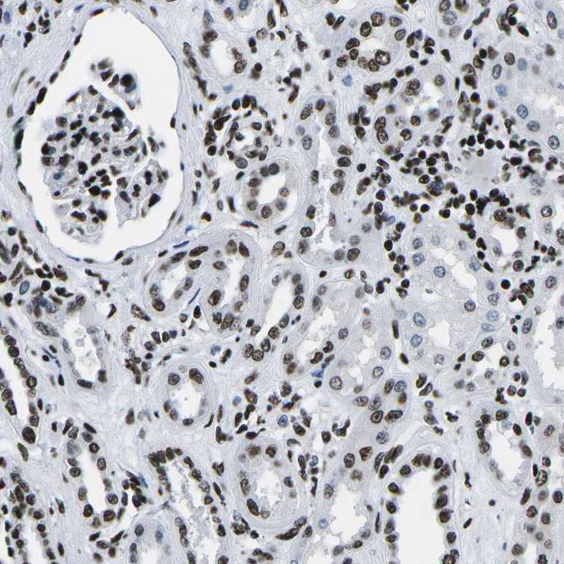
- Main image

- Experimental details
- Immunohistochemical staining of human kidney shows strong nuclear positivity.
- Validation comment
- Staining pattern consistent with experimental and/or bioinformatic data.