Antibody data
- Antibody Data
- Antigen structure
- References [1]
- Comments [0]
- Validations
- Western blot [1]
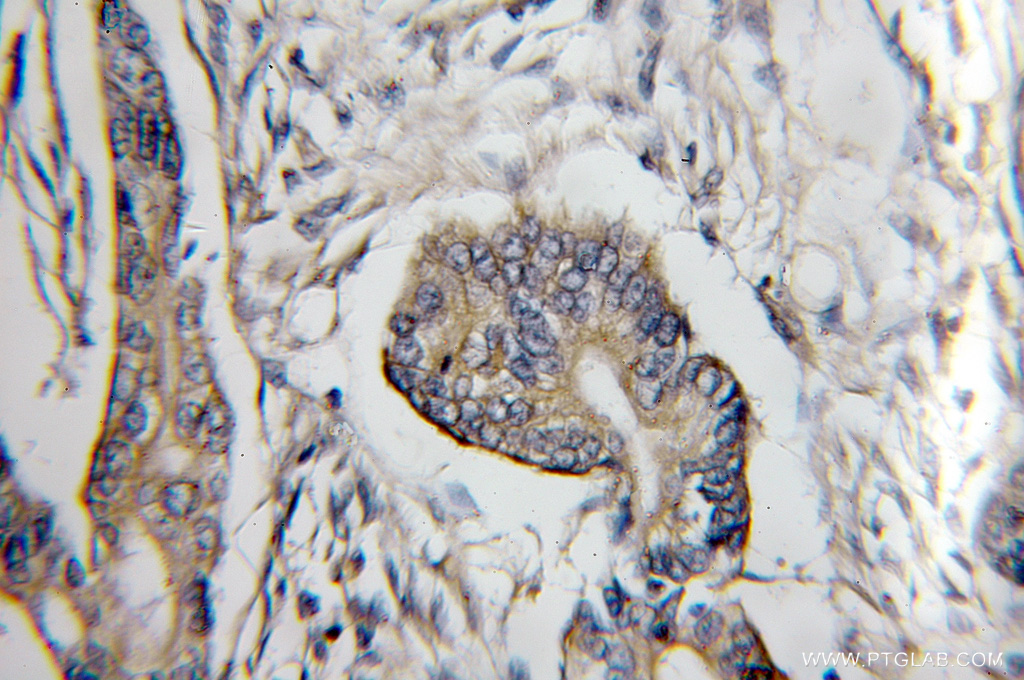
- Immunohistochemistry [1]
Submit
Validation data
Reference
Comment
Report error
- Product number
- 11429-2-AP - Provider product page

- Provider
- Proteintech Group
- Proper citation
- Proteintech Cat#11429-2-AP, RRID:AB_2276720
- Product name
- COX6C antibody
- Antibody type
- Polyclonal
- Description
- COX6C antibody (Cat. #11429-2-AP) is a rabbit polyclonal antibody that shows reactivity with human, mouse, rat and has been validated for the following applications: IHC, WB, ELISA.
- Reactivity
- Human, Mouse, Rat
- Host
- Rabbit
- Conjugate
- Unconjugated
- Isotype
- IgG
- Vial size
- 20ul, 150ul
Submitted references Acquisition of temozolomide chemoresistance in gliomas leads to remodeling of mitochondrial electron transport chain.
Oliva CR, Nozell SE, Diers A, McClugage SG 3rd, Sarkaria JN, Markert JM, Darley-Usmar VM, Bailey SM, Gillespie GY, Landar A, Griguer CE
The Journal of biological chemistry 2010 Dec 17;285(51):39759-67
The Journal of biological chemistry 2010 Dec 17;285(51):39759-67
No comments: Submit comment
Supportive validation
- Submitted by
- Proteintech Group (provider)
- Main image

- Experimental details
- human heart tissue were subjected to SDS PAGE followed by western blot with 11429-2-AP(COX6C antibody) at dilution of 1:400
- Sample type
- tissue
Supportive validation
- Submitted by
- Proteintech Group (provider)
- Main image

- Experimental details
- The COX6C antibody from Proteintech is a rabbit polyclonal antibody to a recombinant protein of human COX6C. This antibody recognizes human,mouse,rat antigen. The COX6C antibody has been validated for the following applications: ELISA, WB, IHC analysis.