Antibody data
- Antibody Data
- Antigen structure
- References [0]
- Comments [0]
- Validations
- ELISA [1]
- Immunohistochemistry [1]
Submit
Validation data
Reference
Comment
Report error
- Product number
- H00001345-M03 - Provider product page

- Provider
- Abnova Corporation
- Proper citation
- Abnova Corporation Cat#H00001345-M03, RRID:AB_518739
- Product name
- COX6C monoclonal antibody (M03), clone S51
- Antibody type
- Monoclonal
- Description
- Mouse monoclonal antibody raised against a full length recombinant COX6C.
- Antigen sequence
MAPEVLPKPRMRGLLARRLRNHMAVAFVLSLGVAA
LYKFRVADQRKKAYADFYRNYDVMKDFEEMRKAGI
FQSVK- Isotype
- IgG
- Antibody clone number
- S51
- Storage
- Store at -20°C or lower. Aliquot to avoid repeated freezing and thawing.
No comments: Submit comment
Supportive validation
- Submitted by
- Abnova Corporation (provider)
- Main image

- Experimental details
- Detection limit for recombinant GST tagged COX6C is approximately 1ng/ml as a capture antibody.
- Validation comment
- Sandwich ELISA (Recombinant protein)
- Protocol
- Protocol
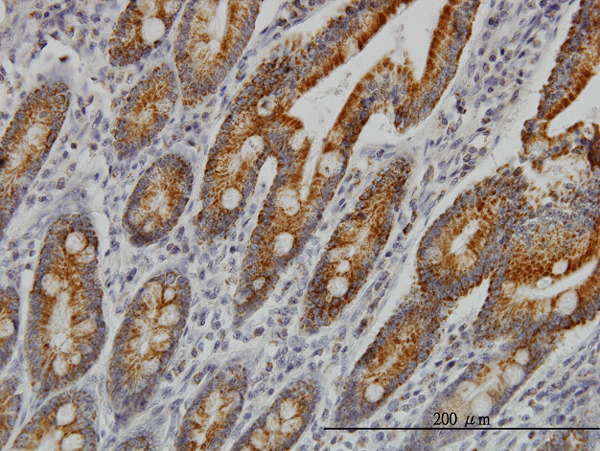
Supportive validation
- Submitted by
- Abnova Corporation (provider)
- Main image

- Experimental details
- Immunoperoxidase of monoclonal antibody to COX6C on formalin-fixed paraffin-embedded human small Intestine. [antibody concentration 1 ug/ml]
- Validation comment
- Immunohistochemistry (Formalin/PFA-fixed paraffin-embedded sections)
- Protocol
- Protocol