Antibody data
- Antibody Data
- Antigen structure
- References [0]
- Comments [0]
- Validations
- Western blot [1]
- Immunohistochemistry [1]
- Flow cytometry [1]
Submit
Validation data
Reference
Comment
Report error
- Product number
- MAB11034 - Provider product page

- Provider
- Abnova Corporation
- Product name
- LMO2 monoclonal antibody, clone SP51
- Antibody type
- Monoclonal
- Description
- Rabbit monoclonal antibody raised againstsynthetic peptide of LMO2.
- Isotype
- IgG
- Antibody clone number
- SP51
- Storage
- Store at 4°C. Do not freeze.
No comments: Submit comment
Supportive validation
- Submitted by
- Abnova Corporation (provider)
- Main image

- Experimental details
- Western blot analysis of Ramos cell lysate with LMO2 monoclonal antibody, clone SP51 (Cat # MAB11034).
Supportive validation
- Submitted by
- Abnova Corporation (provider)
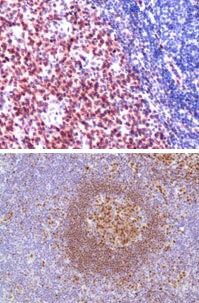
- Main image

- Experimental details
- Immunohistochemistry (Formalin/PFA-fixed paraffin-embedded sections) of human tonsil tissue with LMO2 monoclonal antibody, clone SP51 (Cat # MAB11034).
- Validation comment
- Immunohistochemistry (Formalin/PFA-fixed paraffin-embedded sections)
Supportive validation
- Submitted by
- Abnova Corporation (provider)
- Main image

- Experimental details
- Flow cytometric analysis of RAMOS cells (green) with CD22 monoclonal antibody, clone SP104 (Cat # MAB11025) at 1:100 dilution, compare to negative control of rabbit IgG (blue).
- Validation comment
- Flow Cytometry