NB110-78626
antibody from Novus Biologicals
Targeting: LMO2
RBTN2, RBTNL1, RHOM2, TTG2
Antibody data
- Antibody Data
- Antigen structure
- References [1]
- Comments [0]
- Validations
- Western blot [1]
- Immunohistochemistry [1]
Submit
Validation data
Reference
Comment
Report error
- Product number
- NB110-78626 - Provider product page

- Provider
- Novus Biologicals
- Proper citation
- Novus Cat#NB110-78626, RRID:AB_1084895
- Product name
- Mouse Monoclonal LMO2 Antibody
- Antibody type
- Monoclonal
- Description
- Protein G purified.
- Reactivity
- Human
- Host
- Mouse
- Isotype
- IgG
- Vial size
- 0.1 ml
- Concentration
- 1.0 mg/ml
- Storage
- Store at 4C short term. Aliquot and store at -20C long term. Avoid freeze-thaw cycles.
Submitted references The oncoprotein LMO2 is expressed in normal germinal-center B cells and in human B-cell lymphomas.
Natkunam Y, Zhao S, Mason DY, Chen J, Taidi B, Jones M, Hammer AS, Hamilton Dutoit S, Lossos IS, Levy R
Blood 2007 Feb 15;109(4):1636-42
Blood 2007 Feb 15;109(4):1636-42
No comments: Submit comment
Supportive validation
- Submitted by
- Novus Biologicals (provider)
- Main image

- Experimental details
- Western Blot: LMO2 Antibody (1A9-3B11) [NB110-78626] - Detection of LMO2 in Ramos cell lysate.
Supportive validation
- Submitted by
- Novus Biologicals (provider)
- Main image

- Experimental details
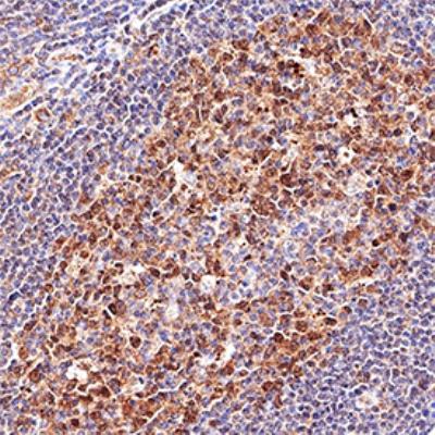
- Immunohistochemistry-Paraffin: LMO2 Antibody (1A9-3B11) [NB110-78626] - IHC analysis of formalin fixed paraffin-embedded (FFPE) human tonsil using LMO2 antibody at 1:500 on a Bond Rx autostainer (Leica Biosystems). The assay involved 20 minutes of heat induced antigen retrieval (HIER) using 10mM sodium citrate buffer (pH 6.0) and endogenous peroxidase quenching with peroxide block. The sections were incubated with primary antibody for 30 minutes and Bond Polymer Refine Detection (Leica Biosystems) with DAB was used for signal development followed by counterstaining with hematoxylin. Whole slide scanning and capturing of representative images was performed using Aperio AT2 (Leica Biosystems). Nuclear with some cytoplasmic staining was observed. Staining was performed by Histowiz.