Antibody data
- Antibody Data
- Antigen structure
- References [0]
- Comments [0]
- Validations
- Immunohistochemistry [1]
Submit
Validation data
Reference
Comment
Report error
- Product number
- LS-C823469 - Provider product page

- Provider
- LSBio
- Product name
- COL7A1 / Collagen VII Antibody LS-C823469
- Antibody type
- Polyclonal
- Description
- Affinity purified
- Reactivity
- Human, Mouse
- Host
- Rabbit
- Isotype
- IgG
- Storage
- Store at -20°C for up to 1 year.
No comments: Submit comment
Supportive validation
- Submitted by
- LSBio (provider)
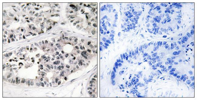
- Main image

- Experimental details
- Peptide - + Immunohistochemistry analysis of paraffin-embedded human lung carcinoma tissue using Collagen VII a1 antibody.