Antibody data
- Antibody Data
- Antigen structure
- References [1]
- Comments [0]
- Validations
- Immunohistochemistry [2]
Submit
Validation data
Reference
Comment
Report error
- Product number
- 20086-1-AP - Provider product page

- Provider
- Proteintech Group
- Proper citation
- Proteintech Cat#20086-1-AP, RRID:AB_10694274
- Product name
- CSTL1-Specific antibody
- Antibody type
- Polyclonal
- Description
- CSTL1-Specific antibody (Cat. #20086-1-AP) is a rabbit polyclonal antibody that shows reactivity with human, mouse and has been validated for the following applications: IHC,ELISA.
- Reactivity
- Human, Mouse
- Host
- Rabbit
- Conjugate
- Unconjugated
- Isotype
- IgG
- Vial size
- 20ul, 150ul
Submitted references WTAP Dysregulation Mediates HLF-m6A Modification to Inhibit Trophoblast Ferroptosis in Preeclampsia.
Liu S, Zhang L, Li Y, Jia X, Kang J, Sun M, Zhang X, Tang J, Meng T
FASEB journal : official publication of the Federation of American Societies for Experimental Biology 2025 Aug 31;39(16):e70961
FASEB journal : official publication of the Federation of American Societies for Experimental Biology 2025 Aug 31;39(16):e70961
No comments: Submit comment
Supportive validation
- Submitted by
- Proteintech Group (provider)
- Main image

- Experimental details
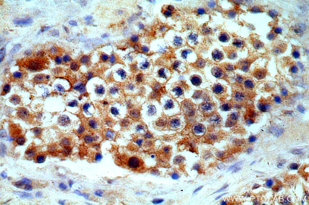
- Immunohistochemical of paraffin-embedded human testis using 20086-1-AP(CSTL1-Specific antibody) at dilution of 1:50 (under 10x lens)
- Sample type
- tissue
- Submitted by
- Proteintech Group (provider)
- Main image

- Experimental details
- The CSTL1-Specific antibody from Proteintech is a rabbit polyclonal antibody to a peptide of human CSTL1-Specific. This antibody recognizes human, mouse antigen. The CSTL1-Specific antibody has been validated for the following applications: ELISA, IHC analysis.