Antibody data
- Antibody Data
- Antigen structure
- References [0]
- Comments [0]
- Validations
- Western blot [1]
- Immunohistochemistry [1]
Submit
Validation data
Reference
Comment
Report error
- Product number
- TA804503 - Provider product page

- Provider
- OriGene
- Proper citation
- OriGene Cat#TA804503, RRID:AB_2627332
- Product name
- ADAMTS1 mouse monoclonal antibody, clone OTI4H2 (formerly 4H2)
- Antibody type
- Monoclonal
- Description
- ADAMTS1 mouse monoclonal antibody, clone OTI4H2 (formerly 4H2)
- Host
- Mouse
- Conjugate
- Unconjugated
- Epitope
- ADAMTS1
- Isotype
- IgG
- Antibody clone number
- OTI4H2
- Vial size
- 100 µl
- Concentration
- 1 mg/ml
No comments: Submit comment
Supportive validation
- Submitted by
- OriGene (provider)
- Main image

- Experimental details
- HEK293T cells were transfected with the pCMV6-ENTRY control (Left lane) or pCMV6-ENTRY ADAMTS1 (RC205984, Right lane) cDNA for 48 hrs and lysed. Equivalent amounts of cell lysates (5 ug per lane) were separated by SDS-PAGE and immunoblotted with anti-ADAMTS1.
- Validation comment
- WB
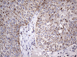
Supportive validation
- Submitted by
- OriGene (provider)
- Main image

- Experimental details
- Immunohistochemical staining of paraffin-embedded Carcinoma of Human bladder tissue using anti-ADAMTS1 mouse monoclonal antibody. (TA804503) Dilution: 1:150
- Validation comment
- IHC