Antibody data
- Antibody Data
- Antigen structure
- References [4]
- Comments [0]
- Validations
- Immunocytochemistry [4]
- Immunohistochemistry [2]
Submit
Validation data
Reference
Comment
Report error
- Product number
- GTX26284 - Provider product page

- Provider
- GeneTex
- Proper citation
- GeneTex Cat#GTX26284, RRID:AB_370603
- Product name
- 58K Golgi protein antibody [58K-9]
- Antibody type
- Monoclonal
- Reactivity
- Human, Mouse, Rat, Bovine, Canine, Hamster, Porcine, Simian
- Host
- Mouse
Submitted references Differential expression of the protein kinase A subunits in normal adrenal glands and adrenocortical adenomas.
A new type of intracellular retention signal identified in a pestivirus structural glycoprotein.
High IGFBP2 expression correlates with tumor severity in pediatric rhabdomyosarcoma.
Characterization of a novel Golgi apparatus-localized latency determinant encoded by human cytomegalovirus.
Weigand I, Ronchi CL, Rizk-Rabin M, Dalmazi GD, Wild V, Bathon K, Rubin B, Calebiro D, Beuschlein F, Bertherat J, Fassnacht M, Sbiera S
Scientific reports 2017 Mar 8;7(1):49
Scientific reports 2017 Mar 8;7(1):49
A new type of intracellular retention signal identified in a pestivirus structural glycoprotein.
Burrack S, Aberle D, Bürck J, Ulrich AS, Meyers G
FASEB journal : official publication of the Federation of American Societies for Experimental Biology 2012 Aug;26(8):3292-305
FASEB journal : official publication of the Federation of American Societies for Experimental Biology 2012 Aug;26(8):3292-305
High IGFBP2 expression correlates with tumor severity in pediatric rhabdomyosarcoma.
Tombolan L, Orso F, Guzzardo V, Casara S, Zin A, Bonora M, Romualdi C, Giorgi C, Bisogno G, Alaggio R, Pinton P, De Pittà C, Taverna D, Rosolen A, Lanfranchi G
The American journal of pathology 2011 Nov;179(5):2611-24
The American journal of pathology 2011 Nov;179(5):2611-24
Characterization of a novel Golgi apparatus-localized latency determinant encoded by human cytomegalovirus.
Petrucelli A, Rak M, Grainger L, Goodrum F
Journal of virology 2009 Jun;83(11):5615-29
Journal of virology 2009 Jun;83(11):5615-29
No comments: Submit comment
Supportive validation
- Submitted by
- GeneTex (provider)
- Main image

- Experimental details
- MCF7 breast carcinoma cells expressing GFP fused CIN85 were labeled with Monoclonal Anti-Golgi 58K Protein/Formiminotransferase Cyclodeaminase (FTCD), clone 58K-9 (Cat. No. GTX26284) at a 1:100 dilution.?
- Submitted by
- GeneTex (provider)
- Main image

- Experimental details
- Cells were grown on coverslips, fixed with 70% methanol, and permeabilized with 0.5% Triton X-100 then double labeled by incubation with a rabbit polyclonal antibody against HE4 (a secreted ovarian cancer biomarker) and monoclonal antibodies against the 5
- Submitted by
- GeneTex (provider)
- Main image

- Experimental details
- IF staining was performed on COS7 cells using a 1:100 dilution of the GTX26284 primary antibody followed by hybridisation with a 1:100 dilution of the secondary anti-mouse antibody R270 with red fluorescence. Picture from review by Karin Birkenkamp-Demtroeder submitted 20 July 2004.
- Submitted by
- GeneTex (provider)
- Main image

- Experimental details
- HeLa cells fixed and permeabilized with 3% PFA plus 0.05% Triton X-100 in PBS. Stained with anti-58K Golgi protein monoclonal antibody (1:50) GTX26284 followed by anti-Mouse IgG conjμgated to Cy3 (1:100).
Supportive validation
- Submitted by
- GeneTex (provider)
- Main image

- Experimental details
- Formalin-fixed parafin embedded ovary was incubated with GTX26284 at range of dilutions (1/100 - 1/3000). Excellent staining of the Golgi in Ovarian inclusion cysts was seen using 1/1000 dilution. Heat-induced epitope retrieval was used.
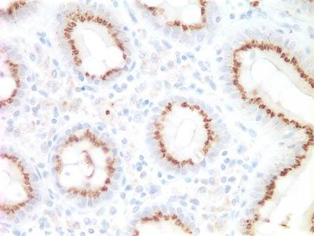
- Submitted by
- GeneTex (provider)
- Main image

- Experimental details
- Formalin-fixed parafin embedded colon was incubated with GTX26284 at range of dilutions (1/100 - 1/3000). Excellent staining of the colonic epithelium was seen using 1/1000 dilution. Heat-induced epitope retrieval was used.