Antibody data
- Antibody Data
- Antigen structure
- References [0]
- Comments [0]
- Validations
- Immunocytochemistry [2]
- Immunohistochemistry [6]
Submit
Validation data
Reference
Comment
Report error
- Product number
- PA5-84627 - Provider product page

- Provider
- Invitrogen Antibodies
- Product name
- TM9SF4 Polyclonal Antibody
- Antibody type
- Polyclonal
- Antigen
- Recombinant protein fragment
- Description
- Immunogen sequence: EDYYVHLIAD NLPVATRLEL YSNRDSDDKK KEKDVQFEHG YRLGFTDVNK IYLHNHLSFI LYYHREDMEE DQEHTYRVVR FE
- Reactivity
- Human
- Host
- Rabbit
- Isotype
- IgG
- Vial size
- 100 μL
- Concentration
- 0.1 mg/mL
- Storage
- Store at 4°C short term. For long term storage, store at -20°C, avoiding freeze/thaw cycles.
No comments: Submit comment
Supportive validation
- Submitted by
- Invitrogen Antibodies (provider)
- Main image

- Experimental details
- Immunofluorescent analysis of TM9SF4 in CACO-2 cells using a TM9SF4 polyclonal antibody (Product # PA5-84627). The analysis shows localization to mitochondria.
- Submitted by
- Invitrogen Antibodies (provider)
- Main image

- Experimental details
- Immunofluorecent analysis of TM9SF4 in human cell line CACO-2 using TM9SF4 Polyclonal Antibody (Product # PA5-84627). Staining shows localization to mitochondria.
Supportive validation
- Submitted by
- Invitrogen Antibodies (provider)
- Main image

- Experimental details
- Immunohistochemical analysis of TM9SF4 in human cerebral cortex using TM9SF4 Polyclonal Antibody (Product # PA5-84627) shows strong cytoplasmic granular positivity in neurons.
- Submitted by
- Invitrogen Antibodies (provider)
- Main image

- Experimental details
- Immunohistochemical analysis of TM9SF4 in human kidney using TM9SF4 Polyclonal Antibody (Product # PA5-84627) shows strong cytoplasmic granular positivity in cells in tubules.
- Submitted by
- Invitrogen Antibodies (provider)
- Main image

- Experimental details
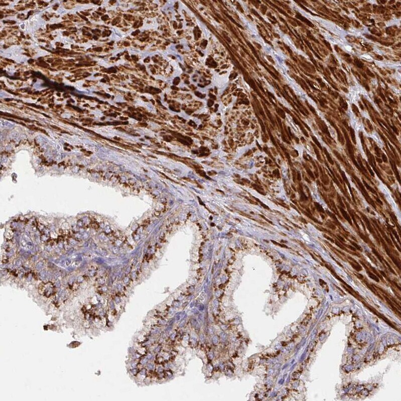
- Immunohistochemical analysis of TM9SF4 in human prostate using TM9SF4 Polyclonal Antibody (Product # PA5-84627) shows strong cytoplasmic granular positivity in smooth muscle cells and glandular cells.
- Submitted by
- Invitrogen Antibodies (provider)
- Main image

- Experimental details
- Immunohistochemical analysis of TM9SF4 in human rectum using TM9SF4 Polyclonal Antibody (Product # PA5-84627) shows strong cytoplasmic granular positivity in glandular cells.
- Submitted by
- Invitrogen Antibodies (provider)
- Main image

- Experimental details
- Immunohistochemical analysis of TM9SF4 in human cerebral cortex using TM9SF4 Polyclonal Antibody (Product # PA5-84627) shows strong cytoplasmic granular positivity in neurons.
- Submitted by
- Invitrogen Antibodies (provider)
- Main image

- Experimental details
- Immunohistochemical analysis of TM9SF4 in human prostate using TM9SF4 Polyclonal Antibody (Product # PA5-84627) shows strong cytoplasmic granular positivity in smooth muscle cells and glandular cells.