Antibody data
- Antibody Data
 - Antigen structure
 - References [6]
 - Comments [0]
 - Validations
 - Immunohistochemistry [1]
 
Submit
Validation data
Reference
Comment
Report error
- Product number
 - PA1722 - Provider product page

 - Provider
 - Boster Biological Technology
 - Product name
 - Anti-Glucose Transporter GLUT4/SLC2A4 Antibody
 - Antibody type
 - Polyclonal
 - Description
 - Polyclonal antibody for Glut4/SLC2A4 detection. Host: Rabbit.Size: 100μg/vial. Tested applications: IHC-P. Reactive species: Human. Glut4/SLC2A4 information: Molecular Weight: 54787 MW; Subcellular Localization: Cell membrane ; Multi-pass membrane protein . Endomembrane system ; Multi-pass membrane protein . Cytoplasm, perinuclear region . Localizes primarily to the perinuclear region, undergoing continued recycling to the plasma membrane where it is rapidly reinternalized. The dileucine internalization motif is critical for intracellular sequestration; Tissue Specificity: Skeletal and cardiac muscles; brown and white fat.
 - Reactivity
 - Human, Mouse, Rat
 - Host
 - Rabbit
 - Vial size
 - 100μg/vial
 - Concentration
 - Add 0.2ml of distilled water will yield a concentration of 500ug/ml.
 - Storage
 - At -20°C for one year. After reconstitution, at 4°C for one month. It can also be aliquoted and stored frozen at -20°C for a longer time. Avoid repeated freezing and thawing.
 - Handling
 - Add 0.2ml of distilled water will yield a concentration of 500ug/ml.
 
Submitted references		Alpha-lipoic Acid Prevents Bone Loss in Type 2 Diabetes and Postmenopausal Osteoporosis Coexisting Conditions by Modulating the YAP/Glut4 Pathway.
				
Ameliorated effects of a lipopeptide surfactin on insulin resistance in vitro and in vivo.
				
The effects of Formoterol in preventing adipogenesis and obesity are mediated by PPARγ/C/EBPα axis and AMPK/PGC-1α pathway.
				
Phenotypic characterization of a novel type 2 diabetes animal model in a SHANXI MU colony of Chinese hamsters.
				
Leptin and its receptor in glucose metabolism of T-cell lymphoma.
				
Activation of κ-opioid receptor exerts the glucose-homeostatic effect in streptozotocin-induced diabetic mice.
				
		
	
			Xu L, Zhang C, Bao J, Han G, Wang C, Cai Y, Xu G, Sun H, Liu M
Cell biochemistry and biophysics 2024 Jun;82(2):669-685
		Cell biochemistry and biophysics 2024 Jun;82(2):669-685
Ameliorated effects of a lipopeptide surfactin on insulin resistance in vitro and in vivo.
			Chen X, Zhao H, Meng F, Zhou L, Pang X, Lu Z, Lu Y
Food science & nutrition 2022 Jul;10(7):2455-2469
		Food science & nutrition 2022 Jul;10(7):2455-2469
The effects of Formoterol in preventing adipogenesis and obesity are mediated by PPARγ/C/EBPα axis and AMPK/PGC-1α pathway.
			Zhang X, Che L, Shan J, Wang Y, Jia Y, Wu H
Bioscience, biotechnology, and biochemistry 2022 Jul 4;
		Bioscience, biotechnology, and biochemistry 2022 Jul 4;
Phenotypic characterization of a novel type 2 diabetes animal model in a SHANXI MU colony of Chinese hamsters.
			Wang L, Wang C, Zhang R, Liu Y, Wang C, Song G, Yu J, Chen Z
Endocrine 2019 Jul;65(1):61-72
		Endocrine 2019 Jul;65(1):61-72
Leptin and its receptor in glucose metabolism of T-cell lymphoma.
			Han TJ, Xu HZ, Li JS, Geng LY, Li XY, Zhou XX, Wang X
Oncology letters 2018 Nov;16(5):5838-5846
		Oncology letters 2018 Nov;16(5):5838-5846
Activation of κ-opioid receptor exerts the glucose-homeostatic effect in streptozotocin-induced diabetic mice.
			Shang Y, Guo F, Li J, Fan R, Ma X, Wang Y, Feng N, Yin Y, Jia M, Zhang S, Zhou J, Wang H, Pei J
Journal of cellular biochemistry 2015 Feb;116(2):252-9
		Journal of cellular biochemistry 2015 Feb;116(2):252-9
				No comments: Submit comment	
	
			
							
					Supportive validation
					
									
				
		- Submitted by
 - Boster Biological Technology (provider)
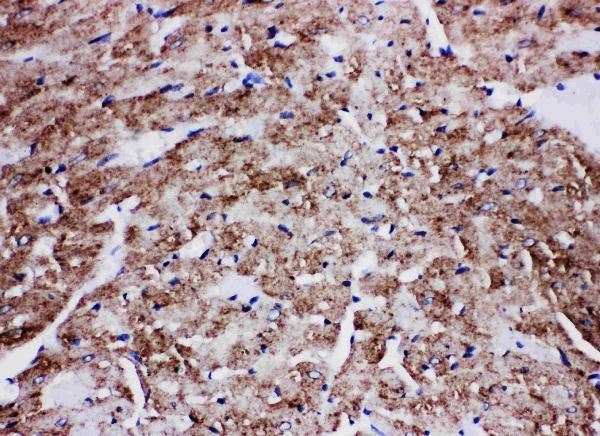
 - Main image
 
- Experimental details
 - Anti-GLUT4 antibody, PA1722, IHC(P)IHC(P): Rat Cardiac Muscle Tissue
 - Additional image
 