Antibody data
- Antibody Data
- Antigen structure
- References [0]
- Comments [0]
- Validations
- Western blot [1]
- Immunocytochemistry [1]
- Immunohistochemistry [1]
Submit
Validation data
Reference
Comment
Report error
- Product number
- PAB29395 - Provider product page

- Provider
- Abnova Corporation
- Product name
- SLC16A1 polyclonal antibody
- Antibody type
- Polyclonal
- Description
- Rabbit polyclonal antibody raised against recombinant human SLC16A1.
- Antigen sequence
PTKAGKDKSKASLEKAGKSGVKKDLHDANTDLIGR
HPKQEKRSVFQTINQFLDLTLFTHRGF- Isotype
- IgG
- Storage
- Store at 4°C. For long term storage store at -20°C.Aliquot to avoid repeated freezing and thawing.
No comments: Submit comment
Supportive validation
- Submitted by
- Abnova Corporation (provider)
- Main image

- Experimental details
- Western blot analysis of Human cell line RT-4 with SLC16A1 polyclonal antibody (Cat # PAB29395) at 1:100-1:250 dilution.
Supportive validation
- Submitted by
- Abnova Corporation (provider)
- Main image

- Experimental details
- Immunofluorescent staining of human cell line U-251 MG with SLC16A1 polyclonal antibody (Cat # PAB29395) at 1-4 ug/mL concentration shows positivity in plasma membrane.
- Validation comment
- Immunofluorescence
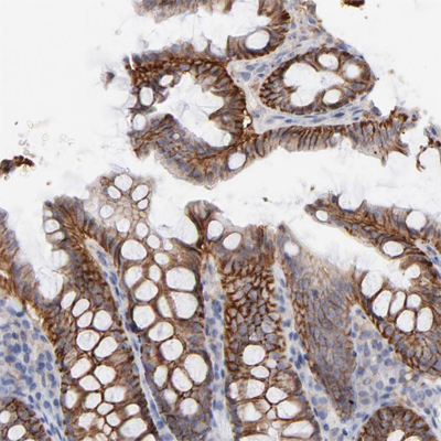
Supportive validation
- Submitted by
- Abnova Corporation (provider)
- Main image

- Experimental details
- Immunohistochemical staining of human colon with SLC16A1 polyclonal antibody (Cat # PAB29395) shows strong cytoplasmic and membranous positivity in glandular cells at 1:500-1:1000 dilution.
- Validation comment
- Immunohistochemistry (Formalin/PFA-fixed paraffin-embedded sections)