Antibody data
- Antibody Data
- Antigen structure
- References [1]
- Comments [0]
- Validations
- Other assay [2]
Submit
Validation data
Reference
Comment
Report error
- Product number
- PA5-45483 - Provider product page

- Provider
- Invitrogen Antibodies
- Product name
- IDUA Polyclonal Antibody
- Antibody type
- Polyclonal
- Antigen
- Synthetic peptide
- Description
- Peptide sequence: DPVAAAPRPL PAGGRLTLRP ALRLPSLLLV HVCARPEKPP GQVTRLRALP Sequence homology: Cow: 93%; Dog: 93%; Guinea Pig: 86%; Horse: 100%; Human: 100%; Mouse: 86%; Rat: 80%
- Reactivity
- Human
- Host
- Rabbit
- Isotype
- IgG
- Vial size
- 100 μL
- Concentration
- 0.5 mg/mL
- Storage
- -20°C, Avoid Freeze/Thaw Cycles
Submitted references A Biochemical Platform to Define the Relative Specific Activity of IDUA Variants Identified by Newborn Screening.
Yu SH, Pollard L, Wood T, Flanagan-Steet H, Steet R
International journal of neonatal screening 2020 Nov 12;6(4)
International journal of neonatal screening 2020 Nov 12;6(4)
No comments: Submit comment
Supportive validation
- Submitted by
- Invitrogen Antibodies (provider)
- Main image

- Experimental details
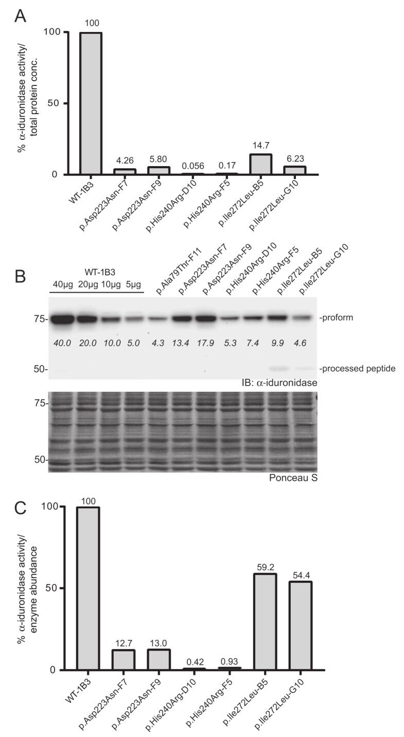
- Figure 3 Determination of the relative specific activity in WT and variant IDUA - expressing cell clones. ( A ) Relative alpha-iduronidase activity in cell lysates from different single cell clones. ( B ) Representative Western blot for alpha-iduronidase in the cell lysates from these clones. Ponceau S staining was used to confirm equivalent total protein loading. ( C ) Relative specific activity determination in the clones calculated by dividing relative enzyme activity by relative alpha-iduronidase abundance as measured by densitometry.
- Submitted by
- Invitrogen Antibodies (provider)
- Main image

- Experimental details
- Figure 4 Determination of the relative specific activity in WT and variant IDUA -expressing cell clones. ( A ) Relative alpha-iduronidase activity in cell lysates from different single cell clones. ( B ) Representative Western blot for alpha-iduronidase in the cell lysates from these clones. Ponceau S staining was used to confirm equivalent total protein loading. ( C ) Relative specific activity determination in the clones calculated by dividing relative enzyme activity by relative alpha-iduronidase abundance as measured by densitometry.