Antibody data
- Antibody Data
- Antigen structure
- References [0]
- Comments [0]
- Validations
- Western blot [1]
- Immunohistochemistry [3]
Submit
Validation data
Reference
Comment
Report error
- Product number
- BS-2698R - Provider product page

- Provider
- Invitrogen Antibodies
- Product name
- MCT4 Polyclonal Antibody
- Antibody type
- Polyclonal
- Antigen
- Synthetic peptide
- Reactivity
- Human, Mouse, Rat
- Host
- Rabbit
- Isotype
- IgG
- Vial size
- 100 µL
- Concentration
- 1 mg/mL
- Storage
- -20°C
No comments: Submit comment
Supportive validation
- Submitted by
- Invitrogen Antibodies (provider)
- Main image

- Experimental details
- L1 rat kidney lysates, L2 rat brain lysates probed with anti-SLC16A3/MCT4 Polyclonal Antibody, Unconjugated (bs-2698R) at 1:200 in 4°C. Followed by conjugation to secondary antibody (bs-0295G-HRP) at 1:3000 90 min in 37°C. Predicted band and observed band size: 51 kD.
Supportive validation
- Submitted by
- Invitrogen Antibodies (provider)
- Main image

- Experimental details
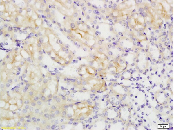
- Formalin-fixed and paraffin embedded rat kidney tissue labeled with Anti-SLC16A3 Polyclonal Antibody, Unconjugated(bs-2698R) at 1:200 followed by conjugation to the secondary antibody and DAB staining.
- Submitted by
- Invitrogen Antibodies (provider)
- Main image

- Experimental details
- Formalin-fixed and paraffin embedded rat brain labeled with Anti-MCT4 Polyclonal Antibody, Unconjugated (bs-2698R) at 1:200 followed by conjugation to the secondary antibody and DAB staining.
- Submitted by
- Invitrogen Antibodies (provider)
- Main image

- Experimental details
- Formalin-fixed and paraffin embedded rat stomach labeled with Anti-MCT4 Polyclonal Antibody, Unconjugated (bs-2698R) at 1:200 followed by conjugation to the secondary antibody and DAB staining.