PA5-72961
antibody from Invitrogen Antibodies
Targeting: TP53INP2
C20orf110, dJ1181N3.1, DKFZp434B2411, DKFZp434O0827, DOR, FLJ21759, FLJ23500, PINH
Antibody data
- Antibody Data
- Antigen structure
- References [0]
- Comments [0]
- Validations
- Immunocytochemistry [1]
- Immunohistochemistry [2]
Submit
Validation data
Reference
Comment
Report error
- Product number
- PA5-72961 - Provider product page

- Provider
- Invitrogen Antibodies
- Product name
- TP53INP2 Polyclonal Antibody
- Antibody type
- Polyclonal
- Antigen
- Synthetic peptide
- Description
- Immunogen has 81% identity to rat. Prior to immunostaining paraffin tissues, antigen retrieval with sodium citrate buffer (pH 6.0) is recommended.
- Reactivity
- Human, Mouse
- Host
- Rabbit
- Isotype
- IgG
- Vial size
- 100 μL
- Concentration
- 0.6 mg/mL
- Storage
- Store at 4°C short term. For long term storage, store at -20°C, avoiding freeze/thaw cycles.
No comments: Submit comment
Supportive validation
- Submitted by
- Invitrogen Antibodies (provider)
- Main image

- Experimental details
- Immunofluorescent analysis of HeLa cells using TP53INP2 polyclonal antibody (Product # PA5-72961) conjugated with FITC (green) at a dilution of 1:200. Counterstain was performed with DAPI (blue) and Phalloidin (red).
Supportive validation
- Submitted by
- Invitrogen Antibodies (provider)
- Main image

- Experimental details
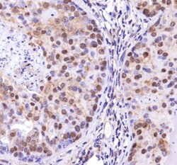
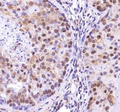
- Immunohistochemical analysis of TP53INP2 in mouse prostate. Samples were incubated in TP53INP2 polyclonal antibody (Product # PA5-72961).
- Submitted by
- Invitrogen Antibodies (provider)
- Main image

- Experimental details
- Immunohistochemical analysis of TP53INP2 in mouse prostate. Samples were incubated in TP53INP2 polyclonal antibody (Product # PA5-72961).