Antibody data
- Antibody Data
- Antigen structure
- References [2]
- Comments [0]
- Validations
- Western blot [1]
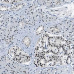
- Immunohistochemistry [1]
Submit
Validation data
Reference
Comment
Report error
- Product number
- sc-28735 - Provider product page

- Provider
- Santa Cruz Biotechnology
- Proper citation
- Santa Cruz Biotechnology Cat#sc-28735, RRID:AB_2071368
- Product name
- Anti-CBX5
- Antibody type
- Polyclonal
- Reactivity
- Human
- Host
- Rabbit
Submitted references Epigenetic changes and suppression of the nuclear factor of activated T cell 1 (NFATC1) promoter in human lymphomas with defects in immunoreceptor signaling.
Nuclear reprogramming: the zygotic transcription program is established through an “erase-and-rebuild” strategy
Akimzhanov A, Krenacs L, Schlegel T, Klein-Hessling S, Bagdi E, Stelkovics E, Kondo E, Chuvpilo S, Wilke P, Avots A, Gattenlöhner S, Müller-Hermelink HK, Palmetshofer A, Serfling E
The American journal of pathology 2008 Jan;172(1):215-24
The American journal of pathology 2008 Jan;172(1):215-24
Nuclear reprogramming: the zygotic transcription program is established through an “erase-and-rebuild” strategy
Feng Sun, Haiyan Fang, Ruizhen Li, Tianlong Gao, Junke Zheng, Xuejin Chen, Wenqin Ying, Hui Z Sheng
Cell Research 2007 Feb;17(2):117-134
Cell Research 2007 Feb;17(2):117-134
No comments: Submit comment
Supportive validation
- Submitted by
- per
- Main image

- Experimental details
- Western blot analysis of antibody specificity using a routine panel composed of IgG/HSA-depleted human plasma and protein lysates from selected human tissues and cell lines.
- Validation comment
- Band of predicted size in kDa (+/-20%) with additional bands present.
- Primary Ab dilution
- 1:500
- Secondary Ab dilution
- 1:3000
- Lane 1
- Marker [kDa]: 250, 130, 95, 72, 55, 36, 28, 17, 11
- Lane 2
- RT-4
- Lane 3
- U-251MG sp
- Lane 4
- Human Plasma
- Lane 5
- Liver
- Lane 6
- Tonsil
- Theoretical target weight
- [kDa] 22
Supportive validation
- Submitted by
- per
- Main image

- Experimental details
- Immunohistochemical staining of human pancreas shows distinct nuclear positivity in islet cells.
- Validation comment
- Staining pattern consistent with experimental and/or bioinformatic data.