Antibody data
- Antibody Data
- Antigen structure
- References [0]
- Comments [0]
- Validations
- Western blot [1]
- Immunocytochemistry [1]
- Immunohistochemistry [1]
Submit
Validation data
Reference
Comment
Report error
- Product number
- ABIN2492538 - Provider product page

- Provider
- antibodies-online
- Product name
- anti-Peroxisome Proliferator-Activated Receptor delta (PPARD) (AA 1-14), (N-Term) antibody
- Antibody type
- Polyclonal
- Antigen
- The immunogen for anti-Ppard antibody: syntetic peptide corresponding to AA 1-14 of mouse PPAR delta.
- Reactivity
- Human
- Host
- Rabbit
- Epitope
- AA 1-14,N-Term
- Vial size
- 50 μg
- Storage
- Store at +4°C or at -20°C if preferred. Storage in frost-free freezers is not recommended. This product should be stored undiluted. Avoid repeated freezing and thawing as this may denature the antibody
- Handling
- Avoid repeat freeze-thaw cycles.
No comments: Submit comment
Supportive validation
- Submitted by
- antibodies-online (provider)
- Main image

- Experimental details
- Image(s): Western Blotting
Supportive validation
- Submitted by
- antibodies-online (provider)
- Main image

- Experimental details
- Image(s): Immunofluorescence
Supportive validation
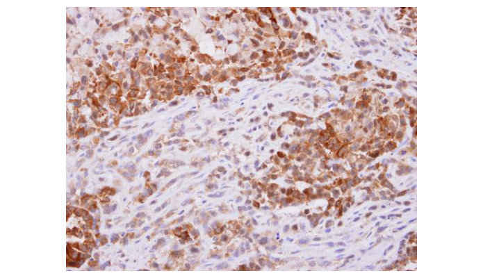
- Submitted by
- antibodies-online (provider)
- Main image

- Experimental details
- Image(s): Immunohistochemistry