Antibody data
- Antibody Data
- Antigen structure
- References [0]
- Comments [0]
- Validations
- Western blot [1]
- Immunohistochemistry [1]
Submit
Validation data
Reference
Comment
Report error
- Product number
- GTX85489 - Provider product page

- Provider
- GeneTex
- Proper citation
- GeneTex Cat#GTX85489, RRID:AB_10726262
- Product name
- IRF7 antibody
- Antibody type
- Polyclonal
- Reactivity
- Human, Mouse
- Host
- Rabbit
No comments: Submit comment
Supportive validation
- Submitted by
- GeneTex (provider)
- Main image

- Experimental details
- Western blot analysis of IRF7 in 293 whole cell lysate with IRF7 antibody at (A) 0.5 and (B) 1 ug/ml.
- Validation comment
- WB
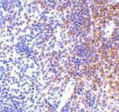
Supportive validation
- Submitted by
- GeneTex (provider)
- Main image

- Experimental details
- Immunohistochemistry of IRF7 in mouse spleen tissue with IRF7 antibody at 5 μg/ml.