Antibody data
- Antibody Data
- Antigen structure
- References [0]
- Comments [0]
- Validations
- Immunohistochemistry [1]
- Flow cytometry [1]
Submit
Validation data
Reference
Comment
Report error
- Product number
- ARG55890 - Provider product page

- Provider
- Arigo
- Product name
- anti-CD56 antibody [123C3.D5]
- Antibody type
- Monoclonal
- Antigen
- A membrane preparation of a small cell lung carcinoma
- Description
- Purification with Protein G.
- Reactivity
- Human, Rat, Zebrafish
- Host
- Mouse
- Isotype
- IgG
- Antibody clone number
- 123C3.D5
- Vial size
- 50 µg
- Concentration
- 0.2 mg/ml
- Storage
- For continuous use, store undiluted antibody at 2-8°C for up to a week. For long-term storage, aliquot and store at -20°C or below. Storage in frost free freezers is not recommended. Avoid repeated freeze/thaw cycles. Suggest spin the vial prior to opening.
- Handling
- The antibody solution should be gently mixed before use.
No comments: Submit comment
Supportive validation
- Submitted by
- Arigo (provider)
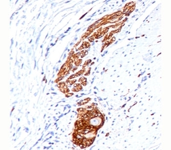
- Main image

- Experimental details
- Immunohistochemistry: Human colon ganglion stained with ARG55890 anti-CD56 antibody [123C3.D5].
Supportive validation
- Submitted by
- Arigo (provider)
- Main image

- Experimental details
- Flow Cytometry: Human monocytes stained with ARG55890 anti-CD56 antibody [123C3.D5].