Antibody data
- Antibody Data
- Antigen structure
- References [0]
- Comments [0]
- Validations
- Immunohistochemistry [5]
Submit
Validation data
Reference
Comment
Report error
- Product number
- NBP2-45981 - Provider product page

- Provider
- Novus Biologicals
- Product name
- Mouse monoclonal SOAT 2 Antibody
- Antibody type
- Monoclonal
- Description
- Affinity purified.
- Reactivity
- Human
- Host
- Mouse
- Isotype
- IgG
- Vial size
- 0.1 ml
- Concentration
- 1 mg/ml
- Storage
- Store at -20C. Avoid freeze-thaw cycles.
No comments: Submit comment
Supportive validation
- Submitted by
- Novus Biologicals (provider)
- Main image

- Experimental details
- Immunohistochemistry: SOAT 2 Antibody (2D3) [NBP2-45981] - Analysis of Adenocarcinoma of Human colon tissue. (Heat-induced epitope retrieval by 10mM citric buffer, pH6.0, 120C for 3min)
- Submitted by
- Novus Biologicals (provider)
- Main image

- Experimental details
- Immunohistochemistry: SOAT 2 Antibody (2D3) [NBP2-45981] - Analysis of Carcinoma of Human lung tissue. (Heat-induced epitope retrieval by 10mM citric buffer, pH6.0, 120C for 3min)
- Submitted by
- Novus Biologicals (provider)
- Main image

- Experimental details
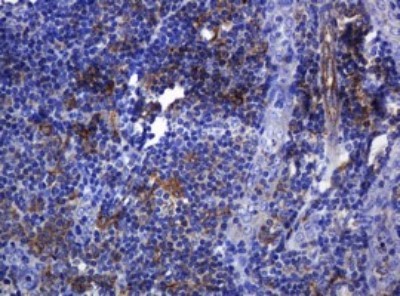
- Immunohistochemistry: SOAT 2 Antibody (2D3) [NBP2-45981] - Analysis of Human lymph node tissue. (Heat-induced epitope retrieval by 10mM citric buffer, pH6.0, 120C for 3min)
- Submitted by
- Novus Biologicals (provider)
- Main image

- Experimental details
- Immunohistochemistry: SOAT 2 Antibody (2D3) [NBP2-45981] - Analysis of Human tonsil tissue. (Heat-induced epitope retrieval by 10mM citric buffer, pH6.0, 120C for 3min)
- Submitted by
- Novus Biologicals (provider)
- Main image

- Experimental details
- Immunohistochemistry: SOAT 2 Antibody (2D3) [NBP2-45981] - Analysis of Human liver tissue. (Heat-induced epitope retrieval by 10mM citric buffer, pH6.0, 120C for 3min)