Antibody data
- Antibody Data
- Antigen structure
- References [0]
- Comments [0]
- Validations
- Western blot [2]
- Immunoprecipitation [1]
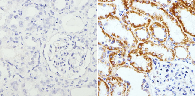
- Immunohistochemistry [2]
Submit
Validation data
Reference
Comment
Report error
- Product number
- LS-C355188 - Provider product page

- Provider
- LSBio
- Product name
- RAP1A Antibody (clone 1D4-1A3) LS-C355188
- Antibody type
- Monoclonal
- Description
- Protein A purified
- Reactivity
- Human, Mouse
- Host
- Mouse
- Isotype
- IgG
- Antibody clone number
- 1D4-1A3
- Storage
- Store at -20°C. Avoid freeze-thaw cycles.
No comments: Submit comment
Supportive validation
- Submitted by
- LSBio (provider)
- Main image

- Experimental details
- WB using Rap1 Antibody (1D4-1A3)
- Submitted by
- LSBio (provider)
- Main image

- Experimental details
- WB using Rap1 Antibody (1D4-1A3)
Supportive validation
- Submitted by
- LSBio (provider)
- Main image

- Experimental details
- IP using Rap1 Antibody (1D4-1A3)

