Antibody data
- Antibody Data
- Antigen structure
- References [4]
- Comments [0]
- Validations
- Western blot [1]
- Immunohistochemistry [1]
Submit
Validation data
Reference
Comment
Report error
- Product number
- sc-353 - Provider product page

- Provider
- Santa Cruz Biotechnology
- Proper citation
- Santa Cruz Biotechnology Cat#sc-353, RRID:AB_675518
- Product name
- Anti-ERG
- Antibody type
- Polyclonal (Antigen purified)
- Antigen
- Synthetic peptide
- Reactivity
- Human
- Host
- Rabbit
Submitted references ETS transcription factors control transcription of EZH2 and epigenetic silencing of the tumor suppressor gene Nkx3.1 in prostate cancer.
ETS family transcription factors collaborate with alternative signaling pathways to induce carcinoma from adult murine prostate cells.
Transcription factor ERG and joint and articular cartilage formation during mouse limb and spine skeletogenesis.
Journal of Cerebral Blood Flow and Metabolism Volume 15, 1995
Journal of Cerebral Blood Flow & Metabolism 1995 Nov;15(6):1149-1151
Kunderfranco P, Mello-Grand M, Cangemi R, Pellini S, Mensah A, Albertini V, Malek A, Chiorino G, Catapano CV, Carbone GM
PloS one 2010 May 10;5(5):e10547
PloS one 2010 May 10;5(5):e10547
ETS family transcription factors collaborate with alternative signaling pathways to induce carcinoma from adult murine prostate cells.
Zong Y, Xin L, Goldstein AS, Lawson DA, Teitell MA, Witte ON
Proceedings of the National Academy of Sciences of the United States of America 2009 Jul 28;106(30):12465-70
Proceedings of the National Academy of Sciences of the United States of America 2009 Jul 28;106(30):12465-70
Transcription factor ERG and joint and articular cartilage formation during mouse limb and spine skeletogenesis.
Iwamoto M, Tamamura Y, Koyama E, Komori T, Takeshita N, Williams JA, Nakamura T, Enomoto-Iwamoto M, Pacifici M
Developmental biology 2007 May 1;305(1):40-51
Developmental biology 2007 May 1;305(1):40-51
Journal of Cerebral Blood Flow and Metabolism Volume 15, 1995
Journal of Cerebral Blood Flow & Metabolism 1995 Nov;15(6):1149-1151
No comments: Submit comment
Supportive validation
- Submitted by
- per
- Main image

- Experimental details
- Western blot analysis of antibody specificity using a routine panel composed of IgG/HSA-depleted human plasma and protein lysates from selected human tissues and cell lines.
- Validation comment
- Band of predicted size in kDa (+/-20%) with additional bands present.
- Primary Ab dilution
- 1:500
- Secondary Ab dilution
- 1:3000
- Lane 1
- Marker [kDa]: 250, 130, 95, 72, 55, 36, 28, 17, 11
- Lane 2
- RT-4
- Lane 3
- U-251MG sp
- Lane 4
- Human Plasma
- Lane 5
- Liver
- Lane 6
- Tonsil
- Theoretical target weight
- [kDa] 51
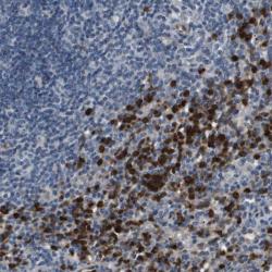
Supportive validation
- Submitted by
- per
- Main image

- Experimental details
- Immunohistochemical staining of human spleen shows strong positivity in cells of red pulp.
- Validation comment
- Staining pattern partly consistent with experimental and/or bioinformatic data.