Antibody data
- Antibody Data
- Antigen structure
- References [1]
- Comments [0]
- Validations
- Western blot [1]
- Immunohistochemistry [2]
- Flow cytometry [1]
Submit
Validation data
Reference
Comment
Report error
- Product number
- NB100-2472 - Provider product page

- Provider
- Novus Biologicals
- Proper citation
- Novus Cat#NB100-2472, RRID:AB_2098433
- Product name
- Goat Polyclonal ERG Antibody
- Antibody type
- Polyclonal
- Description
- Immunogen affinity purified. This antibody is expected to recognise all reported isoforms (NP_891548.1
- Reactivity
- Human
- Host
- Goat
- Antigen sequence
C-PNTRLPTSHMPSH- Isotype
- IgG
- Vial size
- 0.1 mg
- Concentration
- 0.5 mg/ml
- Storage
- Store at -20C. Avoid freeze-thaw cycles.
Submitted references Recurrent fusion of TMPRSS2 and ETS transcription factor genes in prostate cancer.
Tomlins SA, Rhodes DR, Perner S, Dhanasekaran SM, Mehra R, Sun XW, Varambally S, Cao X, Tchinda J, Kuefer R, Lee C, Montie JE, Shah RB, Pienta KJ, Rubin MA, Chinnaiyan AM
Science (New York, N.Y.) 2005 Oct 28;310(5748):644-8
Science (New York, N.Y.) 2005 Oct 28;310(5748):644-8
No comments: Submit comment
Supportive validation
- Submitted by
- Novus Biologicals (provider)
- Main image

- Experimental details
- Western Blot: ERG Antibody [NB100-2472] - Staining of MOLT4 lysate with antibody at 0.1 ug/mL (35 ug protein in RIPA buffer). Detected by chemiluminescence.
Supportive validation
- Submitted by
- Novus Biologicals (provider)
- Main image

- Experimental details
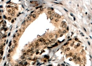
- Immunohistochemistry-Paraffin: ERG Antibody [NB100-2472] - (4ug/ml) staining of paraffin embedded Human Prostate. Steamed antigen retrieval with Tris/EDTA buffer pH 9, HRP-staining.
- Submitted by
- Novus Biologicals (provider)
- Main image

- Experimental details
- Immunohistochemistry-Paraffin: ERG Antibody [NB100-2472] - IHC analysis of ERG in formalin-fixed, paraffin-embedded human prostate using NB100-2472 at 10 ug/ml. Steamed antigen retrieval used with citrate buffer pH 6, and AP-staining.
Supportive validation
- Submitted by
- Novus Biologicals (provider)
- Main image

- Experimental details
- Flow Cytometry: ERG Antibody [NB100-2472] - Flow cytometric analysis of paraformaldehyde fixed MCF7 cells (blue line), permeabilized with 0.5% Triton. Primary incubation 1hr (10 ug/mL) followed by Alexa Fluor 488 secondary antibody (1 ug/mL). IgG control: Unimmunized goat IgG (black line) followed by Alexa Fluor 488 secondary antibody.