Antibody data
- Antibody Data
- Antigen structure
- References [0]
- Comments [0]
- Validations
- Western blot [2]
- ELISA [1]
- Immunohistochemistry [2]
- Flow cytometry [1]
Submit
Validation data
Reference
Comment
Report error
- Product number
- NBP2-52508 - Provider product page

- Provider
- Novus Biologicals
- Product name
- Mouse Monoclonal MKK3/MEK3 Antibody
- Antibody type
- Monoclonal
- Description
- Protein A or G purified.
- Reactivity
- Human
- Host
- Mouse
- Isotype
- IgG
- Vial size
- 0.1 mg
- Concentration
- 1 mg/ml
- Storage
- Store at 4C short term. Aliquot and store at -20C long term. Avoid freeze-thaw cycles.
No comments: Submit comment
Supportive validation
- Submitted by
- Novus Biologicals (provider)
- Main image

- Experimental details
- Western Blot: MKK3/MEK3 Antibody (2E12D11) [NBP2-52508] - Analysis using MAP2K3 mAb against HEK293 (1) and MAP2K3 (AA: 1-138)-hIgGFc transfected HEK293 (2) cell lysate.
- Submitted by
- Novus Biologicals (provider)
- Main image

- Experimental details
- Western Blot: MKK3/MEK3 Antibody (2E12D11) [NBP2-52508] - Analysis using MAP2K3 mAb against human MAP2K3 (AA: 1-138) recombinant protein. (Expected MW is 42.1 kDa)
Supportive validation
- Submitted by
- Novus Biologicals (provider)
- Main image

- Experimental details
- ELISA: MKK3/MEK3 Antibody (2E12D11) [NBP2-52508] - Black line: Control Antigen (100 ng);Purple line: Antigen (10ng); Blue line: Antigen (50 ng); Red line:Antigen (100 ng).
Supportive validation
- Submitted by
- Novus Biologicals (provider)
- Main image

- Experimental details
- Immunohistochemistry-Paraffin: MKK3/MEK3 Antibody (2E12D11) [NBP2-52508] - Analysis of paraffin-embedded bladder cancer tissues using MAP2K3 mouse mAb with DAB staining.
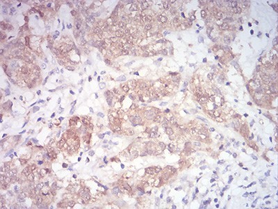
- Submitted by
- Novus Biologicals (provider)
- Main image

- Experimental details
- Immunohistochemistry: MKK3/MEK3 Antibody (2E12D11) [NBP2-52508] - Analysis of paraffin-embedded rectum cancer tissues using MAP2K3 mouse mAb with DAB staining.
Supportive validation
- Submitted by
- Novus Biologicals (provider)
- Main image

- Experimental details
- Flow Cytometry: MKK3/MEK3 Antibody (2E12D11) [NBP2-52508] - Analysis of Hela cells using MAP2K3 mouse mAb (green) and negative control (red).