Antibody data
- Antibody Data
- Antigen structure
- References [9]
- Comments [0]
- Validations
- Immunohistochemistry [1]
Submit
Validation data
Reference
Comment
Report error
- Product number
- sc-1102 - Provider product page

- Provider
- Santa Cruz Biotechnology
- Proper citation
- Santa Cruz Biotechnology Cat#sc-1102, RRID:AB_2094224
- Product name
- Anti-DUSP1
- Antibody type
- Polyclonal (Antigen purified)
- Antigen
- Synthetic peptide
- Reactivity
- Human
- Host
- Rabbit
Submitted references Dual specificity phosphatase 1 regulates human inducible nitric oxide synthase expression by p38 MAP kinase.
Dexamethasone inhibits the Nox-dependent ROS production via suppression of MKP-1-dependent MAPK pathways in activated microglia.
Inhibition of NF-kappaB-dependent transcription by MKP-1: transcriptional repression by glucocorticoids occurring via p38 MAPK.
Bioactivities of simplified adociaquinone B and naphthoquinone derivatives against Cdc25B, MKP-1, and MKP-3 phosphatases.
Tristetraprolin is required for full anti-inflammatory response of murine macrophages to IL-10.
Mitogen-activated protein kinase phosphatase 1/dual specificity phosphatase 1 mediates glucocorticoid inhibition of osteoblast proliferation.
The noncatalytic amino terminus of mitogen-activated protein kinase phosphatase 1 directs nuclear targeting and serum response element transcriptional regulation.
Mitogen-activated protein kinase (MAPK) pathway activation: effects of age and acute exercise on human skeletal muscle.
Dexamethasone causes sustained expression of mitogen-activated protein kinase (MAPK) phosphatase 1 and phosphatase-mediated inhibition of MAPK p38.
Turpeinen T, Nieminen R, Taimi V, Heittola T, Sareila O, Clark AR, Moilanen E, Korhonen R
Mediators of inflammation 2011;2011:127587
Mediators of inflammation 2011;2011:127587
Dexamethasone inhibits the Nox-dependent ROS production via suppression of MKP-1-dependent MAPK pathways in activated microglia.
Huo Y, Rangarajan P, Ling EA, Dheen ST
BMC neuroscience 2011 May 26;12:49
BMC neuroscience 2011 May 26;12:49
Inhibition of NF-kappaB-dependent transcription by MKP-1: transcriptional repression by glucocorticoids occurring via p38 MAPK.
King EM, Holden NS, Gong W, Rider CF, Newton R
The Journal of biological chemistry 2009 Sep 25;284(39):26803-15
The Journal of biological chemistry 2009 Sep 25;284(39):26803-15
Bioactivities of simplified adociaquinone B and naphthoquinone derivatives against Cdc25B, MKP-1, and MKP-3 phosphatases.
Cao S, Murphy BT, Foster C, Lazo JS, Kingston DG
Bioorganic & medicinal chemistry 2009 Mar 15;17(6):2276-81
Bioorganic & medicinal chemistry 2009 Mar 15;17(6):2276-81
Tristetraprolin is required for full anti-inflammatory response of murine macrophages to IL-10.
Schaljo B, Kratochvill F, Gratz N, Sadzak I, Sauer I, Hammer M, Vogl C, Strobl B, Müller M, Blackshear PJ, Poli V, Lang R, Murray PJ, Kovarik P
Journal of immunology (Baltimore, Md. : 1950) 2009 Jul 15;183(2):1197-206
Journal of immunology (Baltimore, Md. : 1950) 2009 Jul 15;183(2):1197-206
Mitogen-activated protein kinase phosphatase 1/dual specificity phosphatase 1 mediates glucocorticoid inhibition of osteoblast proliferation.
Horsch K, de Wet H, Schuurmans MM, Allie-Reid F, Cato AC, Cunningham J, Burrin JM, Hough FS, Hulley PA
Molecular endocrinology (Baltimore, Md.) 2007 Dec;21(12):2929-40
Molecular endocrinology (Baltimore, Md.) 2007 Dec;21(12):2929-40
The noncatalytic amino terminus of mitogen-activated protein kinase phosphatase 1 directs nuclear targeting and serum response element transcriptional regulation.
Wu JJ, Zhang L, Bennett AM
Molecular and cellular biology 2005 Jun;25(11):4792-803
Molecular and cellular biology 2005 Jun;25(11):4792-803
Mitogen-activated protein kinase (MAPK) pathway activation: effects of age and acute exercise on human skeletal muscle.
Williamson D, Gallagher P, Harber M, Hollon C, Trappe S
The Journal of physiology 2003 Mar 15;547(Pt 3):977-87
The Journal of physiology 2003 Mar 15;547(Pt 3):977-87
Dexamethasone causes sustained expression of mitogen-activated protein kinase (MAPK) phosphatase 1 and phosphatase-mediated inhibition of MAPK p38.
Lasa M, Abraham SM, Boucheron C, Saklatvala J, Clark AR
Molecular and cellular biology 2002 Nov;22(22):7802-11
Molecular and cellular biology 2002 Nov;22(22):7802-11
No comments: Submit comment
Supportive validation
- Submitted by
- per
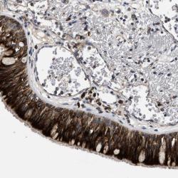
- Main image

- Experimental details
- Immunohistochemical staining of human bronchus shows strong cytoplasmic positivity in respiratory epithelial cells.
- Validation comment
- No experimental and/or bioinformatic data available, or staining pattern not consistent with experimental and/or bioinformatic data.