Antibody data
- Antibody Data
- Antigen structure
- References [1]
- Comments [0]
- Validations
- Western blot [1]
- Immunohistochemistry [2]
- Flow cytometry [1]
Submit
Validation data
Reference
Comment
Report error
- Product number
- NBP2-67909 - Provider product page

- Provider
- Novus Biologicals
- Product name
- Rabbit Monoclonal MKP-1/DUSP1 Antibody
- Antibody type
- Monoclonal
- Description
- Protein A purified.
- Reactivity
- Human, Mouse, Rat
- Host
- Rabbit
- Isotype
- IgG
- Vial size
- 100 ul
- Storage
- Store at 4C short term. Aliquot and store at -20C long term. Avoid freeze-thaw cycles.
Submitted references Clostridium difficile toxin B induces colonic inflammation through the TRIM46/DUSP1/MAPKs and NF-κB signalling pathway.
Li Y, Xu S, Xu Q, Chen Y
Artificial cells, nanomedicine, and biotechnology 2020 Dec;48(1):452-462
Artificial cells, nanomedicine, and biotechnology 2020 Dec;48(1):452-462
No comments: Submit comment
Supportive validation
- Submitted by
- Novus Biologicals (provider)
- Main image

- Experimental details
- Western Blot: MKP-1/DUSP1 Antibody (JJ0930) [NBP2-67909] - Analysis of DUSP1 on mouse spleen lysates using anti-DUSP1 antibody at 1/1,000 dilution.
Supportive validation
- Submitted by
- Novus Biologicals (provider)
- Main image

- Experimental details
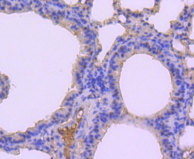
- Immunohistochemistry-Paraffin: MKP-1/DUSP1 Antibody (JJ0930) [NBP2-67909] - Analysis of paraffin-embedded mouse lung tissue using anti-DUSP1 antibody. Counter stained with hematoxylin.
- Submitted by
- Novus Biologicals (provider)
- Main image

- Experimental details
- Immunohistochemistry-Paraffin: MKP-1/DUSP1 Antibody (JJ0930) [NBP2-67909] - Analysis of paraffin-embedded human lung cancer tissue using anti-DUSP1 antibody. Counter stained with hematoxylin.
Supportive validation
- Submitted by
- Novus Biologicals (provider)
- Main image

- Experimental details
- Flow Cytometry: MKP-1/DUSP1 Antibody (JJ0930) [NBP2-67909] - Analysis of HepG2 cells with DUSP1 antibody at 1/50 dilution (red) compared with an unlabelled control (cells without incubation with primary antibody; black). Alexa Fluor 488-conjugated goat anti rabbit IgG was used as the secondary antibody