Antibody data
- Antibody Data
- Antigen structure
- References [0]
- Comments [0]
- Validations
- Immunocytochemistry [2]
- Immunohistochemistry [4]
Submit
Validation data
Reference
Comment
Report error
- Product number
- PA5-59900 - Provider product page

- Provider
- Invitrogen Antibodies
- Product name
- C9orf40 Polyclonal Antibody
- Antibody type
- Polyclonal
- Antigen
- Recombinant protein fragment
- Description
- Immunogen sequence: VASRQHNEEF WQYNTFQYWR NPLPPIDLAD IEDLSEDTLT EATLQGRNEG AEVDME Highest antigen sequence identity to the following orthologs: Mouse - 66%, Rat - 70%.
- Reactivity
- Human
- Host
- Rabbit
- Isotype
- IgG
- Vial size
- 100 μL
- Concentration
- 0.3 mg/mL
- Storage
- Store at 4°C short term. For long term storage, store at -20°C, avoiding freeze/thaw cycles.
No comments: Submit comment
Supportive validation
- Submitted by
- Invitrogen Antibodies (provider)
- Main image

- Experimental details
- Immunofluorescent staining of C9orf40 in human cell line U-251 MG shows positivity in cytoplasm, centrosome & nucleus but excluded from the nucleoli. Samples were probed using a C9orf40 Polyclonal Antibody (Product # PA5-59900).
- Submitted by
- Invitrogen Antibodies (provider)
- Main image

- Experimental details
- Immunofluorecent analysis of C9orf40 in human cell line U-251 MG using C9orf40 Polyclonal Antibody (Product # PA5-59900). Staining shows localization to nucleoplasm, cytosol and centrosome.
Supportive validation
- Submitted by
- Invitrogen Antibodies (provider)
- Main image

- Experimental details
- Immunohistochemical staining of C9orf40 in human testis and skeletal muscle tissues using C9orf40 Polyclonal Antibody (Product # PA5-59900). Corresponding C9orf40 RNA-seq data are presented for the same tissues.
- Submitted by
- Invitrogen Antibodies (provider)
- Main image

- Experimental details
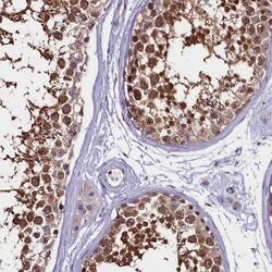
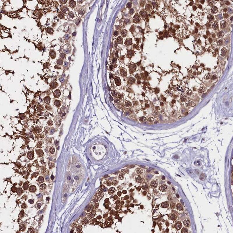
- Immunohistochemical staining of C9orf40 in human testis using C9orf40 Polyclonal Antibody (Product # PA5-59900) shows high expression.
- Submitted by
- Invitrogen Antibodies (provider)
- Main image

- Experimental details
- Immunohistochemical staining of C9orf40 in human skeletal muscle using C9orf40 Polyclonal Antibody (Product # PA5-59900) shows low expression as expected.
- Submitted by
- Invitrogen Antibodies (provider)
- Main image

- Experimental details
- Immunohistochemical staining of C9orf40 in human testis using C9orf40 Polyclonal Antibody (Product # PA5-59900) shows high expression.