Antibody data
- Antibody Data
- Antigen structure
- References [0]
- Comments [0]
- Validations
- Immunocytochemistry [1]
- Immunoprecipitation [1]
- Immunohistochemistry [1]
- Other assay [1]
Submit
Validation data
Reference
Comment
Report error
- Product number
- PA5-117820 - Provider product page

- Provider
- Invitrogen Antibodies
- Product name
- C9orf40 Polyclonal Antibody
- Antibody type
- Polyclonal
- Antigen
- Other
- Reactivity
- Human
- Host
- Rabbit
- Isotype
- IgG
- Vial size
- 100 μL
- Storage
- -20°C, Avoid Freeze/Thaw Cycles
No comments: Submit comment
Supportive validation
- Submitted by
- Invitrogen Antibodies (provider)
- Main image

- Experimental details
- Immunofluorescence staining of C9orf40 in U251MG cells. Cells were fixed with 4% PFA, permeabilzed with 0.1% Triton X-100 in PBS, blocked with 10% serum, and incubated with C9orf40 Polyclonal Antibody (Product # PA5-117820, 1:200) at 4°C overnight. Then cells were stained with the Alexa Fluor®488-conjugated Goat Anti-rabbit IgG secondary antibody (green). Positive staining was localized to nucleus and cytoplasm.
Supportive validation
- Submitted by
- Invitrogen Antibodies (provider)
- Main image

- Experimental details
- C9orf40 Immunoprecipitation using: Lane A: 0.5 mg HeLa Whole Cell Lysate 4 µL with C9orf40 Polyclonal Antibody (Product # PA5-117820) and 60 μg of Immunomagnetic beads Protein A/G. Primary antibody: C9orf40 Polyclonal Antibody, at 1:100 dilution. Secondary antibody: Goat Anti-Rabbit IgG (H+L) /HRP at 1:10,000 dilution. Developed using the ECL technique. Performed under reducing conditions. Predicted band size: 21 kDa. Observed band size: 28 kDa.
Supportive validation
- Submitted by
- Invitrogen Antibodies (provider)
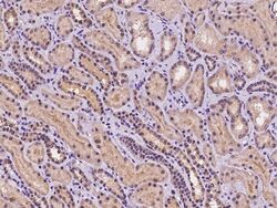
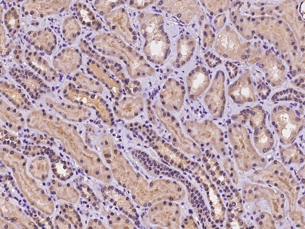
- Main image

- Experimental details
- Immunohistochemical staining of human C9orf40 in human kidney with C9orf40 Polyclonal Antibody (Product # PA5-117820, 1:100 dilution, formalin-fixed paraffin embedded sections).
Supportive validation
- Submitted by
- Invitrogen Antibodies (provider)
- Main image

- Experimental details
- C9orf40 Immunoprecipitation using: Lane A: 0.5 mg HeLa Whole Cell Lysate 4 µL with C9orf40 Polyclonal Antibody (Product # PA5-117820) and 60 μg of Immunomagnetic beads Protein A/G. Primary antibody: C9orf40 Polyclonal Antibody, at 1:100 dilution. Secondary antibody: Goat Anti-Rabbit IgG (H+L) /HRP at 1:10,000 dilution. Developed using the ECL technique. Performed under reducing conditions. Predicted band size: 21 kDa. Observed band size: 28 kDa.