Antibody data
- Antibody Data
- Antigen structure
- References [0]
- Comments [0]
- Validations
- Western blot [1]
- Immunocytochemistry [1]
- Immunohistochemistry [1]
Submit
Validation data
Reference
Comment
Report error
- Product number
- PAB23824 - Provider product page

- Provider
- Abnova Corporation
- Proper citation
- Abnova Corporation Cat#PAB23824, RRID:AB_11121545
- Product name
- CCDC86 polyclonal antibody
- Antibody type
- Polyclonal
- Description
- Rabbit polyclonal antibody raised against recombinant CCDC86.
- Antigen sequence
LQQGAGLESPQGQPEPGAASPQRQQDLHLESPQRQ
PEYSPESPRCQPKPSEEAPKCSQDQGVLASELAQN
KEELTPGAPQHQLPPV- Isotype
- IgG
- Storage
- Store at 4°C. For long term storage store at -20°C.Aliquot to avoid repeated freezing and thawing.
No comments: Submit comment
Supportive validation
- Submitted by
- Abnova Corporation (provider)
- Main image

- Experimental details
- Western blot analysis of Lane 1: Negative control (vector only transfected HEK293T lysate).Lane 2: Over-expression lysate (Co-expressed with a C-terminal myc-DDK tag (~3.1 kDa) in mammalian HEK293T cells with CCDC86 polyclonal antibody (Cat # PAB23824).
Supportive validation
- Submitted by
- Abnova Corporation (provider)
- Main image

- Experimental details
- Immunofluorescent staining of human cell line U-2 OS with CCDC86 polyclonal antibody (Cat # PAB23824) at 1-4 ug/mL dilution shows positivity in nucleus and nucleoli.
- Validation comment
- Immunofluorescence
Supportive validation
- Submitted by
- Abnova Corporation (provider)
- Main image

- Experimental details
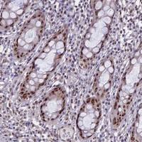
- Immunohistochemical staining of human rectum with CCDC86 polyclonal antibody (Cat # PAB23824) shows moderate nucleolar positivity in glandular cells at 1:1000-1:2500 dilution.
- Validation comment
- Immunohistochemistry (Formalin/PFA-fixed paraffin-embedded sections)