Antibody data
- Antibody Data
- Antigen structure
- References [0]
- Comments [0]
- Validations
- Western blot [2]
- Immunohistochemistry [6]
Submit
Validation data
Reference
Comment
Report error
- Product number
- NBP1-93500 - Provider product page

- Provider
- Novus Biologicals
- Proper citation
- Novus Cat#NBP1-93500, RRID:AB_11031429
- Product name
- Rabbit Polyclonal CCDC86 Antibody
- Antibody type
- Polyclonal
- Description
- Immunogen affinity purified. Specificity of human CCDC86 antibody verified on a Protein Array containing target protein plus 383 other non-specific proteins.
- Reactivity
- Human
- Host
- Rabbit
- Isotype
- IgG
- Vial size
- 0.1 ml
- Storage
- Store at 4C short term. Aliquot and store at -20C long term. Avoid freeze-thaw cycles.
No comments: Submit comment
Supportive validation
- Submitted by
- Novus Biologicals (provider)
- Main image

- Experimental details
- Western Blot: CCDC86 Antibody [NBP1-93500] - Analysis in control (vector only transfected HEK293T lysate) and CCDC86 over-expression lysate (Co-expressed with a C-terminal myc-DDK tag (~3.1 kDa) in mammalian HEK293T cells, LY411369).
- Submitted by
- Novus Biologicals (provider)
- Main image

- Experimental details
- Western Blot: CCDC86 Antibody [NBP1-93500] - Analysis NBP1-93500 (A) shows similar pattern to independent antibody NBP1-93501 (B).
Supportive validation
- Submitted by
- Novus Biologicals (provider)
- Main image

- Experimental details
- Immunohistochemistry-Paraffin: CCDC86 Antibody [NBP1-93500] - Staining of human liver shows low expression as expected.
- Submitted by
- Novus Biologicals (provider)
- Main image

- Experimental details
- Immunohistochemistry-Paraffin: CCDC86 Antibody [NBP1-93500] - Staining of human parathyroid gland shows high expression.
- Submitted by
- Novus Biologicals (provider)
- Main image

- Experimental details
- Immunohistochemistry-Paraffin: CCDC86 Antibody [NBP1-93500] - Staining in human parathyroid gland and liver tissues using anti-CCDC86 antibody. Corresponding CCDC86 RNA-seq data are presented for the same tissues.
- Submitted by
- Novus Biologicals (provider)
- Main image

- Experimental details
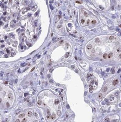
- Immunohistochemistry-Paraffin: CCDC86 Antibody [NBP1-93500] - Staining of human kidney using Anti-CCDC86 antibody.
- Submitted by
- Novus Biologicals (provider)
- Main image

- Experimental details
- Immunohistochemistry-Paraffin: CCDC86 Antibody [NBP1-93500] - Staining of human colon using Anti-CCDC86 antibody.
- Submitted by
- Novus Biologicals (provider)
- Main image

- Experimental details
- Immunohistochemistry-Paraffin: CCDC86 Antibody [NBP1-93500] - Staining of human colon, kidney, liver and parathyroid gland using Anti-CCDC86 antibody NBP1-93500 (A) shows similar protein distribution across tissues to independent antibody NBP1-93501 (B).