Antibody data
- Antibody Data
- Antigen structure
- References [2]
- Comments [0]
- Validations
- Western blot [1]
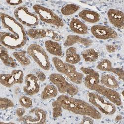
- Immunohistochemistry [1]
Submit
Validation data
Reference
Comment
Report error
- Product number
- sc-15343 - Provider product page

- Provider
- Santa Cruz Biotechnology
- Proper citation
- Santa Cruz Biotechnology Cat#sc-15343, RRID:AB_2099061
- Product name
- Anti-ENO1
- Antibody type
- Polyclonal
- Antigen
- Recombinant full-length protein
- Reactivity
- Human
- Host
- Rabbit
Submitted references Proteomic analysis of low dose arsenic and ionizing radiation exposure on keratinocytes.
Cell–cell contacts trigger programmed necrosis and induce cyclooxygenase-2 expression
Berglund SR, Santana AR, Li D, Rice RH, Rocke DM, Goldberg Z
Proteomics 2009 Apr;9(7):1925-38
Proteomics 2009 Apr;9(7):1925-38
Cell–cell contacts trigger programmed necrosis and induce cyclooxygenase-2 expression
J Bizik, E Kankuri, A Ristimäki, A Taïeb, H Vapaatalo, W Lubitz, A Vaheri
Cell Death and Differentiation 2003 Oct;11(2):183-195
Cell Death and Differentiation 2003 Oct;11(2):183-195
No comments: Submit comment
Supportive validation
- Submitted by
- per
- Main image

- Experimental details
- Western blot analysis of antibody specificity using a routine panel composed of IgG/HSA-depleted human plasma and protein lysates from selected human tissues and cell lines.
- Validation comment
- Single band corresponding to the predicted size in kDa (+/-20%).
- Primary Ab dilution
- 1:500
- Secondary Ab dilution
- 1:3000
- Lane 1
- Marker [kDa]: 250, 130, 95, 72, 55, 36, 28, 17, 11
- Lane 2
- RT-4
- Lane 3
- U-251MG sp
- Lane 4
- Human Plasma
- Lane 5
- Liver
- Lane 6
- Tonsil
- Theoretical target weight
- [kDa] 47
Supportive validation
- Submitted by
- per
- Main image

- Experimental details
- Immunohistochemical staining of human kidney shows cytoplasmic positivity in cells of renal tubules.
- Validation comment
- Staining pattern partly consistent with experimental and/or bioinformatic data.