Antibody data
- Antibody Data
- Antigen structure
- References [2]
- Comments [0]
- Validations
- Western blot [3]
- Immunocytochemistry [1]
- Immunoprecipitation [1]
- Immunohistochemistry [1]
Submit
Validation data
Reference
Comment
Report error
- Product number
- GTX113179 - Provider product page

- Provider
- GeneTex
- Proper citation
- GeneTex Cat#GTX113179, RRID:AB_10731276
- Product name
- ENO1 antibody
- Antibody type
- Polyclonal
- Reactivity
- Human, Mouse
- Host
- Rabbit
Submitted references Proteomic identification of altered protein O-GlcNAcylation in a triple transgenic mouse model of Alzheimer's disease.
Upregulation of Glucose Uptake and Hexokinase Activity of Primary Human CD4+ T Cells in Response to Infection with HIV-1.
Tramutola A, Sharma N, Barone E, Lanzillotta C, Castellani A, Iavarone F, Vincenzoni F, Castagnola M, Butterfield DA, Gaetani S, Cassano T, Perluigi M, Di Domenico F
Biochimica et biophysica acta. Molecular basis of disease 2018 Oct;1864(10):3309-3321
Biochimica et biophysica acta. Molecular basis of disease 2018 Oct;1864(10):3309-3321
Upregulation of Glucose Uptake and Hexokinase Activity of Primary Human CD4+ T Cells in Response to Infection with HIV-1.
Kavanagh Williamson M, Coombes N, Juszczak F, Athanasopoulos M, Khan MB, Eykyn TR, Srenathan U, Taams LS, Dias Zeidler J, Da Poian AT, Huthoff H
Viruses 2018 Mar 7;10(3)
Viruses 2018 Mar 7;10(3)
No comments: Submit comment
Enhanced validation
Supportive validation
- Submitted by
- GeneTex (provider)
- Enhanced method
- Genetic validation
- Main image

- Experimental details
- Non-transfected (¡V) and transfected (+) 293T whole cell extracts (30 ?g) were separated by 10% SDS-PAGE, and the membrane was blotted with ENO1 antibody (GTX113179) diluted at 1:20000.
Supportive validation
- Submitted by
- GeneTex (provider)
- Main image

- Experimental details
- Sample (30 ug of whole cell lysate) A: A431 10% SDS PAGE GTX113179 diluted at 1:1000
- Validation comment
- WB
- Submitted by
- GeneTex (provider)
- Main image

- Experimental details
- Non-transfected (¡V) and transfected (+) 293T whole cell extracts (30 ?g) were separated by 10% SDS-PAGE, and the membrane was blotted with ENO1 antibody (GTX113179) diluted at 1:20000.
Supportive validation
- Submitted by
- GeneTex (provider)
- Main image

- Experimental details
- Immunofluorescence analysis of methanol-fixed HCT116, using ENO1(GTX113179) antibody at 1:500 dilution.
Supportive validation
- Submitted by
- GeneTex (provider)
- Main image

- Experimental details
- ENO1antibody immunoprecipitates ENO1protein in IP experiments. IP Sample: 1000 ?g HeLa whole cell lysate/extract A. 40 £gg HeLa whole cell lysate/extract B. Control with 2.5 £gg of preimmune rabbit IgG C. Immunoprecipitation of ENO1protein by 2.5 £gg of ENO1 antibody (GTX113179) 10% SDS-PAGE The immunoprecipitated ENO1 protein was detected by ENO1 antibody (GTX113179) diluted at 1:1000. EasyBlot anti-rabbit IgG (GTX221666-01) was used as a secondary reagent.
Supportive validation
- Submitted by
- GeneTex (provider)
- Main image

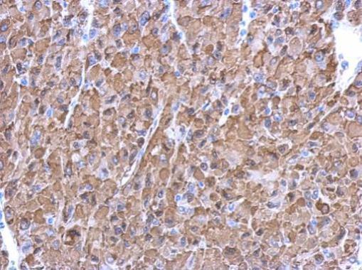
- Experimental details
- Immunohistochemical analysis of paraffin-embedded U87 xenograft, using ENO1(GTX113179) antibody at 1:500 dilution.