Antibody data
- Antibody Data
- Antigen structure
- References [0]
- Comments [0]
- Validations
- Immunohistochemistry [8]
Submit
Validation data
Reference
Comment
Report error
- Product number
- NBP2-32387 - Provider product page

- Provider
- Novus Biologicals
- Product name
- Rabbit Polyclonal CAPSL Antibody
- Antibody type
- Polyclonal
- Description
- Immunogen affinity purified. Specificity of human CAPSL antibody verified on a Protein Array containing target protein plus 383 other non-specific proteins.
- Reactivity
- Human
- Host
- Rabbit
- Isotype
- IgG
- Vial size
- 0.1 ml
- Storage
- Store at 4C short term. Aliquot and store at -20C long term. Avoid freeze-thaw cycles.
No comments: Submit comment
Supportive validation
- Submitted by
- Novus Biologicals (provider)
- Main image

- Experimental details
- Immunohistochemistry-Paraffin: CAPSL Antibody [NBP2-32387] - Staining of human fallopian tube shows distinct positivity in cytoplasm and cilia in subsets of glandular cells.
- Submitted by
- Novus Biologicals (provider)
- Main image

- Experimental details
- Immunohistochemistry-Paraffin: CAPSL Antibody [NBP2-32387] - Staining of human fallopian tube shows high expression.
- Submitted by
- Novus Biologicals (provider)
- Main image

- Experimental details
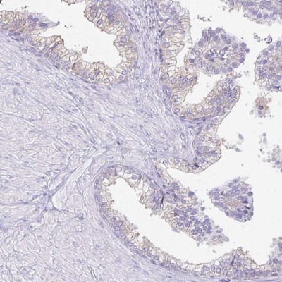
- Immunohistochemistry-Paraffin: CAPSL Antibody [NBP2-32387] - Staining of human prostate shows low expression as expected.
- Submitted by
- Novus Biologicals (provider)
- Main image

- Experimental details
- Immunohistochemistry-Paraffin: CAPSL Antibody [NBP2-32387] - Staining in human fallopian tube and prostate tissues using anti-CAPSL antibody. Corresponding CAPSL RNA-seq data are presented for the same tissues.
- Submitted by
- Novus Biologicals (provider)
- Main image

- Experimental details
- Immunohistochemistry-Paraffin: CAPSL Antibody [NBP2-32387] - Staining of human fallopian tube, kidney, liver and lymph node using Anti-CAPSL antibody NBP2-32387 (A) shows similar protein distribution across tissues to independent antibody NBP2-14437 (B).
- Submitted by
- Novus Biologicals (provider)
- Main image

- Experimental details
- Immunohistochemistry-Paraffin: CAPSL Antibody [NBP2-32387] - Staining of human lymph node.
- Submitted by
- Novus Biologicals (provider)
- Main image

- Experimental details
- Immunohistochemistry-Paraffin: CAPSL Antibody [NBP2-32387] - Staining of human kidney.
- Submitted by
- Novus Biologicals (provider)
- Main image

- Experimental details
- Immunohistochemistry-Paraffin: CAPSL Antibody [NBP2-32387] - Staining of human liver.