Antibody data
- Antibody Data
- Antigen structure
- References [1]
- Comments [0]
- Validations
- Immunohistochemistry [1]
- Other assay [1]
Submit
Validation data
Reference
Comment
Report error
- Product number
- PA5-57515 - Provider product page

- Provider
- Invitrogen Antibodies
- Product name
- Tensin 1 Polyclonal Antibody
- Antibody type
- Polyclonal
- Antigen
- Recombinant protein fragment
- Description
- Immunogen sequence: LSPLTNGLDK SYPMEPMVNG GGYPYESASR AGPAHAGHTA PMRPSYSAQE GLAGYQREGP HPAWPQPVTT SHYAHDPSGM FRSQS Highest antigen sequence identity to the following orthologs: Mouse - 74%, Rat - 74%.
- Reactivity
- Human
- Host
- Rabbit
- Isotype
- IgG
- Vial size
- 100 μL
- Concentration
- 0.2 mg/mL
- Storage
- Store at 4°C short term. For long term storage, store at -20°C, avoiding freeze/thaw cycles.
Submitted references GDNF drives rapid tubule morphogenesis in a novel 3D in vitro model for ADPKD.
Dixon EE, Maxim DS, Halperin Kuhns VL, Lane-Harris AC, Outeda P, Ewald AJ, Watnick TJ, Welling PA, Woodward OM
Journal of cell science 2020 Jul 16;133(14)
Journal of cell science 2020 Jul 16;133(14)
No comments: Submit comment
Supportive validation
- Submitted by
- Invitrogen Antibodies (provider)
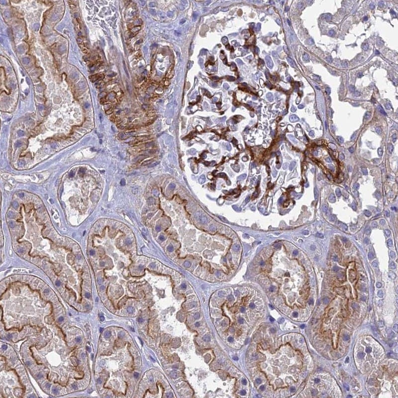
- Main image

- Experimental details
- Immunohistochemical analysis of Tensin 1 in human kidney using Tensin 1 Polyclonal Antibody (Product # PA5-57515) shows distinct membranous positivity in cells in tubules and cells in glomeruli.
Supportive validation
- Submitted by
- Invitrogen Antibodies (provider)
- Main image

- Experimental details
- Fig. 6. Differentially expressed ADPKD related genes. (A) Volcano plot representing differentially expressed genes (red) in doxycycline-treated organoids ( Pkd2- ) with adjusted P =1.5 ( n =4 cultures for each group). (B) Heatmap showing directionality of expression for significantly (adjusted P